Journal of Southern Medical University ›› 2026, Vol. 46 ›› Issue (1): 141-149.doi: 10.12122/j.issn.1673-4254.2026.01.15

Previous Articles    

Enhancement of radiomics-based machine learning models for predicting efficacy of high-intensity focused ultrasound ablation of uterine fibroids using undersampling methods

Yunneng CUI1,2(), Minqing FENG3,4,5, Liangfeng YAO2, Jiewen YAN2, Wenhan LI6, Yanping HUANG6()   

  1. 1.Department of Radiology, First Affiliated Hospital of Jinan University, Guangzhou 510630, China
    2.Department of Radiology, Foshan Women and Children Hospital, Foshan 528000, China
    3.Department of Gynecology, First Affiliated Hospital of Jinan University, Guangzhou 510630, China
    4.Department of Gynecology, Foshan Women and Children Hospital, Foshan 528000, China
    5.Department of Gynecology, Foshan Women and Children Hospital, Foshan 528000, China
    6.School of Physics and Optoelectronic Engineering, Foshan University, Foshan 528000, China
  • Received:2025-06-20 Online:2026-01-20 Published:2026-01-16
  • Contact: Yanping HUANG E-mail:letitb@163.com;yale.huangyp@fosu.edu.cn

Abstract:

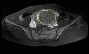
Objective To improve the accuracy of machine learning models for preoperative prediction of high-intensity focused ultrasound (HIFU) ablation efficacy for uterine fibroids by correcting class imbalance in small sample datasets using undersampling methods. Methods Clinical and imaging data were collected from 140 patients with uterine fibroids undergoing HIFU treatment at Foshan Women and Children Hospital, including 104 with high ablation rates and 36 with low ablation rates. Radiomic features were extracted from MRI T2-weighted images (T2WI) of the patients, and machine learning models were constructed to predict HIFU treatment outcomes. Four machine learning algorithms, including k-Nearest Neighbors (KNN), Random Forest (RF), Support Vector Machine (SVM), and Multilayer Perceptron (MLP), were coupled with 7 undersampling methods, namely Random Undersampling (RUS), Repeated Edited Nearest Neighbors (RENN), All k-Nearest Neighbors (AllKNN), Neighborhood Cleaning Rule-3 (NM), Condensed Nearest Neighbor (CNN), Neighborhood Cleaning Rule (NCR), and Instance Hardness Threshold (IHT), for handling class imbalance in the datasets. The 28 prediction models were evaluated using 5-fold cross-validation for areas under the receiver operating characteristic curve (AUC), accuracy, recall, and specificity. Results The best combinations of undersampling methods and machine learning models CNN-RF, NM-SVM, CNN-KNN, and NM-MLP had AUCs of 0.772 (95% CI: 0.566-0.942), 0.797 (95% CI: 0.600-0.950), 0.822 (95% CI: 0.635-0.964), and 0.822 (95% CI: 0.632-0.960), respectively. The AUCs of the machine learning models significantly increased after coupling with undersampling methods, with the MLP model showing the most pronounced improvement. The recall rates of the 4 combined models also improved significantly (by 0.389 for CNN-RF, 0.836 for NM-SVM, 0.532 for CNN-KNN, and 0.372 for NM-MLP). Conclusion The use of undersampling methods can effectively correct class imbalance in small sample datasets to improve the accuracy of machine learning models for predicting the efficacy of HIFU ablation for uterine fibroids.

Key words: uterine fibroid, magnetic resonance imaging, high-intensity focused ultrasound, machine learning, prediction, class imbalance, radiomics, undersampling