南方医科大学学报 ›› 2026, Vol. 46 ›› Issue (2): 316-324.doi: 10.12122/j.issn.1673-4254.2026.02.09

• • 上一篇    

异牡荆素通过促进SIRT3表达减轻糖尿病小鼠的心肌氧化应激损伤

彭煜策(), 姜毅, 马丹, 何岸, 吕鼎一(), 罗明昊(), 罗素新()   

  1. 重庆医科大学附属第一医院心血管内科,重庆 400016
  • 收稿日期:2025-07-08 出版日期:2026-02-20 发布日期:2026-03-10
  • 通讯作者: 吕鼎一,罗明昊,罗素新 E-mail:Yuce1999@163.com;dingyi.lyu@hospital.cqmu.edu.cn;luominghao001@foxmail.com;luosuxin0204@163.com
  • 作者简介:彭煜策,在读博士研究生,E-mail: Yuce1999@163.com
  • 基金资助:
    国家自然科学基金(82400477);重庆市自然科学基金面上项目(CSTB2024NSCQ-MSX1212);重庆市医学人才-青年拔尖人才项目(YXQN2025067)

Isovitexin alleviates myocardial oxidative stress injury in diabetic mice by enhancing myocardial SIRT3 expression and reducing oxidative stress

Yuce PENG(), Yi JIANG, Dan MA, An HE, Dingyi LÜ(), Minghao LUO(), Suxin LUO()   

  1. Department of Cardiology, First Affiliated Hospital of Chongqing Medical University, Chongqing 400016, China
  • Received:2025-07-08 Online:2026-02-20 Published:2026-03-10
  • Contact: Dingyi Lü, Minghao LUO, Suxin LUO E-mail:Yuce1999@163.com;dingyi.lyu@hospital.cqmu.edu.cn;luominghao001@foxmail.com;luosuxin0204@163.com
  • Supported by:
    National Natural Science Foundation of China(82400477)

摘要:

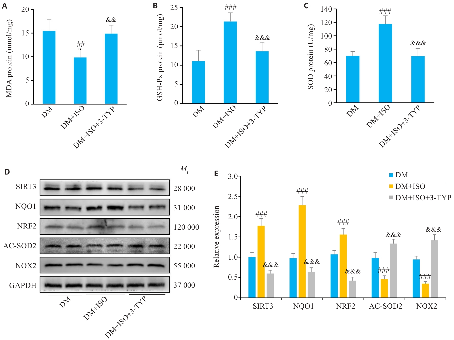
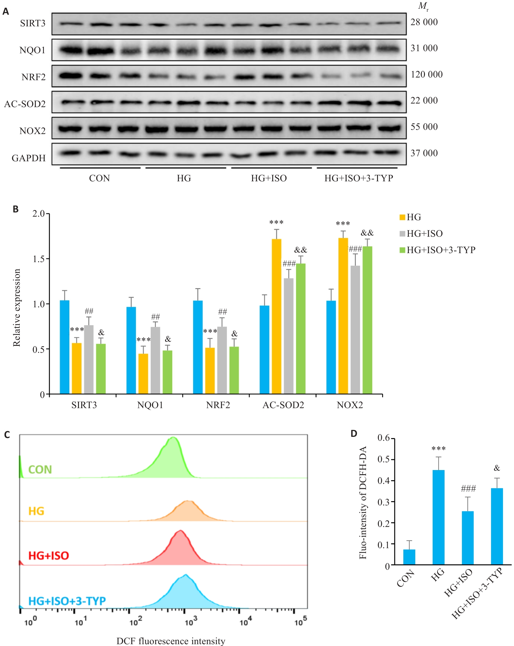
目的 研究异牡荆素(ISO)对糖尿病小鼠心肌的保护作用及机制。 方法 选用成年雄性C57小鼠18只,随机分为对照组、糖尿病组(DM)和DM+ISO组(n=6)。分离新生小鼠原代心肌细胞(NMCMs),分为对照组、高糖组(HG,33 mmol/L葡萄糖)、HG+ISO组及HG+ISO+3-TYP组(SIRT3抑制剂)。HE染色评估心肌损伤;ELISA检测心肌丙二醛(MDA)、超氧化物歧化酶(SOD)、谷胱甘肽过氧化物酶(GSH-Px)水平;免疫组化和荧光检测iNOS、NOX2、8-OHdG表达;Western blotting分析NRF2、NOX2、NQO1、SIRT3等通路蛋白;流式细胞术定量活性氧水平。 结果 与对照组相比,DM组心肌细胞炎症浸润增加,白细胞介素-1β(IL-1β),白细胞介素-6(IL-6),α-肿瘤坏死因子(TNF-α)水平升高(P<0.01),NQO1,NRF2,SIRT3蛋白水平下降(P<0.01),NOX2,AC-SOD2蛋白水平增加(P<0.01),与DM组相比,DM+ISO组心肌细胞炎症浸润减少,IL-1β,IL-6,TNF-α水平下降(P<0.01),NQO1,NRF2,SIRT3蛋白水平恢复(P<0.01),NOX2,AC-SOD2蛋白水平减少(P<0.01)。 结论 ISO可通过促进SIRT3表达,有效减轻氧化应激来减缓糖尿病心肌损伤,从而显著改善糖尿病心肌病。

关键词: 异牡荆素, 糖尿病, 心肌病, 氧化应激, SIRT3

Abstract:

Objective To investigate the protective effect of isovitexin (ISO) on the myocardium of diabetic mice and explore its mechanism. Methods Eighteen adult male C57 mice were randomly divided into control group, diabetes mellitus (DM) group and DM+ISO group (n=6). Primary cultures of neonatal mouse cardiomyocytes (NMCMs) were exposed to high glucose (33 mmol/L) and treated with ISO alone or in combination with 3-TYP (a SIRT3 inhibitor). HE staining was used to evaluate myocardial injury in the diabetic mice, and the levels of MDA, SOD and GSH-Px in the myocardium were detected with ELISA. The expressions of iNOS, NOX2 and 8-OHdG were detected using immunohistochemistry and fluorescence staining. Western blotting was used to analyze the expression levels of NRF2, NOX2, NQO1, and SIRT3, and ROS levels were determined with flow cytometry. Results The diabetic mice showed obvious inflammatory cell infiltration in the myocardium, increased myocardial levels of IL-1β, IL-6 and TNF‑α, decreased expression levels of NQO1, NRF2 and SIRT3 proteins, and increased expression levels of NOX2 and AC-SOD2 proteins. ISO treatment of the diabetic mice significantly reduced myocardial inflammatory cell infiltration, lowered the levels of IL-1β, IL-6 and TNF‑α, restored the protein levels of NQO1, NRF2 and SIRT3, and decreased the protein levels of NOX2 and AC-SOD2. Conclusion ISO can alleviate diabetic myocardial injury in mice by promoting SIRT3 expression and reducing oxidative stress.

Key words: isovitexin, diabetes mellitus, cardiomyopathy, oxidative stress, SIRT3