南方医科大学学报 ›› 2025, Vol. 45 ›› Issue (10): 2082-2091.doi: 10.12122/j.issn.1673-4254.2025.10.04

• • 上一篇    

负载人脐带间充质干细胞外泌体的壳聚糖水凝胶促进慢性糖尿病大鼠的伤口愈合

邱晓慧1(), 王檬2, 唐江解3, 周建大4, 金晨5()   

  1. 1.中南大学湘雅二医院烧伤整形外科,湖南 长沙 410011
    2.中南大学材料学院,湖南 长沙 410083
    3.中南大学湘雅三医院 口腔科
    4.中南大学湘雅三医院 整形外科,湖南 长沙 410017
    5.中南大学湘雅医院神经外科,湖南 长沙 410008
  • 收稿日期:2024-12-05 出版日期:2025-10-20 发布日期:2025-10-24
  • 通讯作者: 金晨 E-mail:keyi0540658@163.com;oyqn845ifgi265@163.com
  • 作者简介:邱晓慧,博士,副研究员,E-mail: keyi0540658@163.com
  • 基金资助:
    湖南省自然科学基金青年基金项目(2021JJ40998)

Chitosan hydrogel loaded with human umbilical cord mesenchymal stem cell-derived exosomes promotes healing of chronic diabetic wounds in rats

Xiaohui QIU1(), Meng WANG2, Jiangjie TANG3, Jianda ZHOU4, Chen JIN5()   

  1. 1.Department of Burn and Plastic Surgery, Xiangya Second Hospital, Central South University, Changsha 410011, China
    2.School of Materials Science and Engineering, Central South University, Changsha 410083, China
    3.Department of Stomatology, Xiangya Third Hospital, Central South University, Changsha 410017, China
    4.Department of Plastic Surgery, Xiangya Third Hospital, Central South University, Changsha 410017, China
    5.Department of Neurosurgery, Xiangya Hospital, Central South University, Changsha 410008, China
  • Received:2024-12-05 Online:2025-10-20 Published:2025-10-24
  • Contact: Chen JIN E-mail:keyi0540658@163.com;oyqn845ifgi265@163.com

摘要:

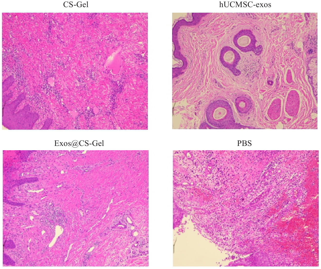
目的 探讨负载人脐带间充质干细胞(hUCMSC)外泌体(hUCMSC-exos)的壳聚糖(CS)水凝胶(Exos@CS-Gel)改善糖尿病伤口愈合的机制。 方法 提取hUCMSC外泌体并制备Exos@CS-Gel,通过细胞划痕和CCK-8实验评估其对人脐静脉内皮细胞(HUVEC)增殖与迁移的影响。采用链脲佐菌素诱导建立糖尿病大鼠全层皮肤伤口模型,将24只大鼠随机分为4组:Exos@CS-Gel组(100 µg hUCMSC-exos溶于100 µL 24% CS水凝胶)、hUCMSC-exos组(100 µg hUCMSC-exos溶于100 µL PBS)、CS水凝胶组(100 µL 24% CS水凝胶)和对照组(100 µL PBS),局部注射覆盖伤口后,通过免疫组化、HE染色、免疫荧光及 qRT-PCR 评估伤口愈合效果及机制。 结果 成功提取 hUCMSC-exos 并制备 Exos@CS-Gel。体外实验显示,Exos@CS-Gel促进HUVEC增殖与迁移(P<0.05)。体内实验结果显示,术后14 d Exos@CS-Gel 组伤口愈合率达92.7%,高于hUCMSC-exos组(9.12%)、CS水凝胶组(16.28%)和对照组(25.98%)(P<0.05),微血管密度、血管内皮生长因子和转化生长因子β-1表达水平均升高。 结论 Exos@CS-Gel 可提高外泌体体外生存能力,通过促进血管生成与细胞增殖等机制加速糖尿病伤口愈合。

关键词: 血管生成, 糖尿病, 外泌体, 人脐带间充质干细胞, 壳聚糖, 水凝胶

Abstract:

Objective To investigate the mechanism by which chitosan (CS) hydrogel loaded with human umbilical cord mesenchymal stem cell (HUVECs)-derived exosomes (hUCMSC-exos) (Exos@CS-Gel) improves diabetic wound healing. Methods hUCMSC-exos were extracted and Exos@CS-Gel was prepared. The effect of Exos@CS-Gel on proliferation and migration of HUVECs were evaluated using scratch wound assay and CCK-8 assay. Diabetic rat models with full-thickness skin wounds established by streptozotocin induction were randomized divided into 4 groups for treatment with Exos@CS-Gel (100 µg hUCMSC-exos dissolved in 100 µL 24% CS hydrogel), hUCMSC-exos (100 µg hUCMSC-exos dissolved in 100 µL PBS), CS hydrogel (100 µL 24% CS hydrogel), or PBS (control group). Wound healing and the therapeutic mechanisms were assessed using immunohistochemistry, HE staining, immunofluorescence, and qRT-PCR. Results In cultured HUVECs, Exos@CS-Gel treatment significantly promoted cell proliferation and migration. In the rat models of chronic diabetic wounds, the wound healing rate in Exos@CS-Gel group reached 92.7% on day 14, significantly higher than those in hUCMSC-exos group (9.12%), CS hydrogel group (16.28%), and control group (25.98%). Microvessel density and the expression levels of vascular endothelial growth factor and transforming growth factor β-1 were significantly increased in the Exos@CS-Gel group. Conclusion Exos@CS-Gel promotes survival capacity of hUCMSC-exos in vitro and accelerates diabetic wound healing in rats by promoting angiogenesis and cell proliferation.

Key words: angiogenesis, diabetic wound, exosomes, mesenchymal stem cells, chitosan, hydrogel