南方医科大学学报 ›› 2026, Vol. 46 ›› Issue (2): 293-300.doi: 10.12122/j.issn.1673-4254.2026.02.07
• • 上一篇
邱佳惠1(
), 陈萌2(
), 满如3, 陈鑫1, 邱东瑞1, 常启同1, 马洪玉1
收稿日期:2025-07-16
出版日期:2026-02-20
发布日期:2026-03-10
通讯作者:
陈萌
E-mail:3010057273@qq.com;187362783@qq.com
作者简介:邱佳惠,在读硕士研究生,E-mail: 3010057273@qq.com
基金资助:
Jiahui QIU1(
), Meng CHEN2(
), Ru MAN3, Xin CHEN1, Dongrui QIU1, Qitong CHANG1, Hongyu MA1
Received:2025-07-16
Online:2026-02-20
Published:2026-03-10
Contact:
Meng CHEN
E-mail:3010057273@qq.com;187362783@qq.com
Supported by:摘要:
目的 基于磷脂酰肌醇-3-激酶蛋白激酶B(PI3K/Akt)信号通路,通过对慢传输型便秘(STC)大鼠结肠Cajal间质细胞(ICCs)胞葬过程的变化进行评价,探索化瘀通便汤对慢传输型便秘的作用机制。 方法 取SD大鼠采用盐酸洛哌丁胺混悬液灌胃法制备STC模型,随机分为模型组、化瘀通便汤中药低剂量组、化瘀通便汤中药中剂量组、化瘀通便汤中药高剂量组、阳性药物(莫沙必利)组,每组12只,另取12只SD大鼠灌胃等剂量生理盐水设为空白组。测量各组大鼠首次黑便时间、粪便含水率、肠道推进率;通过透射电镜观察分析Cajal间质细胞超微结构,计算线粒体空泡率;免疫荧光实验检测各组大鼠巨噬细胞吞噬率;HE染色检测各组大鼠结肠病理形态;免疫组织化学(IHC)染色检测各组大鼠结肠组织酪氨酸蛋白激酶受体(c-Kit)表达水平;Western blotting法检测大鼠结肠c-Kit、整联蛋白相关蛋白(CD47)、PI3K、Akt蛋白含量,分析各项指标与胞葬作用的相关性。 结果 与空白组比较,模型组大鼠出现典型的便秘症状,Cajal间质细胞超微结构明显损坏,大鼠结肠黏膜出现明显病理损伤,首次黑便时间、线粒体空泡率、CD47、p-PI3K/PI3K、p-Akt/Akt蛋白表达水平明显升高(P<0.01),粪便含水率、肠道推进率、c-Kit蛋白表达水平明显降低(P<0.01),吞噬率两组无明显差异。与模型组比较,化瘀通便汤中药各剂量组大鼠Cajal间质细胞超微结构形态基本正常,大鼠结肠黏膜病理损伤明显减轻,粪便含水率、肠道推进率、吞噬率、c-Kit蛋白表达明显升高(P<0.05),首次黑便时间、线粒体空泡率、CD47、p-PI3K/PI3K、p-Akt/Akt蛋白含量均降低(P<0.05),其中,化瘀通便汤中药高剂量组结果最为显著(P<0.01)。 结论 化瘀通便汤可能通过抑制PI3K、Akt的磷酸化,下调CD47蛋白表达,提高巨噬细胞吞噬率,从而促进Cajal间质细胞的胞葬过程,发挥对慢传输型便秘的治疗作用。
邱佳惠, 陈萌, 满如, 陈鑫, 邱东瑞, 常启同, 马洪玉. 化瘀通便汤通过抑制PI3K/Akt信号通路促进慢传输型便秘大鼠肠道Cajal间质细胞的胞葬作用[J]. 南方医科大学学报, 2026, 46(2): 293-300.
Jiahui QIU, Meng CHEN, Ru MAN, Xin CHEN, Dongrui QIU, Qitong CHANG, Hongyu MA. Huayu Tongbian Decoction promotes efferocytosis of interstitial Cajal cells in rats with slow transit constipation by inhibiting the PI3K/Akt signaling pathway[J]. Journal of Southern Medical University, 2026, 46(2): 293-300.
| Group | Before modeling | After modeling | After treatment |
|---|---|---|---|
| Control | 212.15±1.20 | 248.86±3.48 | 309.82±5.85 |
| Model | 213.67±3.67 | 231.83±1.56** | 267.00±2.81** |
| LH | 210.77±3.81 | 230.05±2.17** | 272.54±6.19** |
| MH | 208.41±2.94 | 230.11±2.53** | 284.46±6.37**# |
| HH | 210.87±2.50 | 230.66±2.13** | 297.07±5.14## |
| Positive drug | 208.04±2.53 | 227.84±1.61** | 291.82±8.19*## |
表1 各组大鼠体质量变化
Tab.1 Changes in body weight of the rats in each group (g, Mean±SD, n=10)
| Group | Before modeling | After modeling | After treatment |
|---|---|---|---|
| Control | 212.15±1.20 | 248.86±3.48 | 309.82±5.85 |
| Model | 213.67±3.67 | 231.83±1.56** | 267.00±2.81** |
| LH | 210.77±3.81 | 230.05±2.17** | 272.54±6.19** |
| MH | 208.41±2.94 | 230.11±2.53** | 284.46±6.37**# |
| HH | 210.87±2.50 | 230.66±2.13** | 297.07±5.14## |
| Positive drug | 208.04±2.53 | 227.84±1.61** | 291.82±8.19*## |
| Group | Fecal water content (%) | First black stool time (min) | Intestinal propulsion rate (%) |
|---|---|---|---|
| Control | 55.11±1.17 | 186.20±3.59 | 80.37±2.61 |
| Model | 26.71±0.63** | 302.20±10.13** | 48.20±1.15** |
| LH | 29.40±1.17** | 288.70±8.63** | 51.83±1.93** |
| MH | 42.73±1.20**## | 260.70±6.68**## | 66.50±2.01**## |
| HH | 52.25±1.31## | 198.30±11.43## | 76.07±1.74## |
| Positive drug | 44.17±1.00**## | 246.20±6.26**## | 66.90±1.57**## |
表2 各组大鼠粪便含水率、首次黑便时间及肠道推进率
Tab.2 Fecal water content, first black stool time and intestinal propulsion rate of the rats in each group (Mean±SD, n=10)
| Group | Fecal water content (%) | First black stool time (min) | Intestinal propulsion rate (%) |
|---|---|---|---|
| Control | 55.11±1.17 | 186.20±3.59 | 80.37±2.61 |
| Model | 26.71±0.63** | 302.20±10.13** | 48.20±1.15** |
| LH | 29.40±1.17** | 288.70±8.63** | 51.83±1.93** |
| MH | 42.73±1.20**## | 260.70±6.68**## | 66.50±2.01**## |
| HH | 52.25±1.31## | 198.30±11.43## | 76.07±1.74## |
| Positive drug | 44.17±1.00**## | 246.20±6.26**## | 66.90±1.57**## |
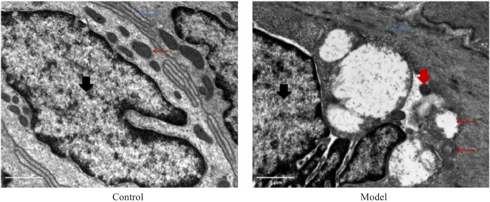
图1 化瘀通便汤对STC大鼠结肠ICCs超微结构的影响
Fig.1 Effect of Huayu Tongbian Decoction on ultrastructure of interstitial Cajal cells (ICCs) in the colon tissues of rat models of slow transit constipation (STC) (Original magnification: ×20 000). The black arrow indicates the nucleus, the red thin arrow indicates the mitochondria, the red thick arrow the lysosome, and the blue thin arrow the endoplasmic reticulum.
| Group | Mitochondrial vacuolation rate (%) |
|---|---|
| Control | 15.15±0.93 |
| Model | 69.28±4.81** |
| LH | 64.88±1.18** |
| MH | 59.26±3.76**# |
| HH | 34.01±2.99**## |
| Positive drug | 45.98±1.21**## |
表3 各组大鼠线粒体空泡率
Tab.3 Mitochondrial vacuolation rate of the rats in each group (Mean±SD, n=5)
| Group | Mitochondrial vacuolation rate (%) |
|---|---|
| Control | 15.15±0.93 |
| Model | 69.28±4.81** |
| LH | 64.88±1.18** |
| MH | 59.26±3.76**# |
| HH | 34.01±2.99**## |
| Positive drug | 45.98±1.21**## |
| Group | Phagocytosis rate (%) |
|---|---|
| Control | 1.84±0.89 |
| Model | 6.94±0.40 |
| LH | 11.06±1.00** |
| MH | 32.69±1.94**## |
| HH | 51.21±3.14**## |
| Positive drug | 24.60±1.75**## |
表4 各组大鼠胞葬水平
Tab.4 Efferocytosis level of the rats in each group (Mean±SD, n=5)
| Group | Phagocytosis rate (%) |
|---|---|
| Control | 1.84±0.89 |
| Model | 6.94±0.40 |
| LH | 11.06±1.00** |
| MH | 32.69±1.94**## |
| HH | 51.21±3.14**## |
| Positive drug | 24.60±1.75**## |
图4 化瘀通便汤对STC大鼠结肠组织c-Kit蛋白表达的影响
Fig.4 Effect of Huayu Tongbian Decoction on expressions of c-Kit protein in the colon tissue of STC rats (HE staining, ×200).
| Group | c-Kit(AOD) |
|---|---|
| Control | 0.34±0.011 |
| Model | 0.20±0.011** |
| LH | 0.22±0.008** |
| MH | 0.24±0.005**## |
| HH | 0.32±0.003## |
| Positive drug | 0.28±0.008**## |
表5 各组大鼠结肠组织c-Kit蛋白水平比较
Tab.5 Comparison of c-Kit protein levels in the colon tissue of the rats in each group (Mean±SD, n=3)
| Group | c-Kit(AOD) |
|---|---|
| Control | 0.34±0.011 |
| Model | 0.20±0.011** |
| LH | 0.22±0.008** |
| MH | 0.24±0.005**## |
| HH | 0.32±0.003## |
| Positive drug | 0.28±0.008**## |
图5 化瘀通便汤对STC大鼠c-Kit、CD47、p-PI3K、PI3K、p-Akt、Akt蛋白表达的影响
Fig.5 Effect of Huayu Tongbian Decoction on c-Kit, CD47, p-PI3K, PI3K, p-Akt and Akt protein expressions detected by Western blotting in STC rats.
| Group | c-Kit/β-actin | CD47/β-actin | p-PI3K/PI3K | p-Akt/Akt |
|---|---|---|---|---|
| Control | 3.37±0.05 | 0.59±0.05 | 0.53±0.10 | 0.47±0.02 |
| Model | 1.24±0.14** | 1.26±0.07** | 1.24±0.02** | 1.19±0.04** |
| LH | 1.54±0.09** | 1.17±0.08** | 1.10±0.04** | 1.09±0.01** |
| MH | 2.30±0.10**## | 0.93±0.05**## | 0.80±0.05*## | 0.91±0.04**## |
| HH | 3.01±0.04*## | 0.62±0.05## | 0.55±0.08## | 0.53±0.02## |
| Positive drug | 2.44±0.21**## | 0.72±0.02## | 0.72±0.10## | 0.78±0.05**## |
表6 各组大鼠结肠组织c-Kit、CD47、p-PI3K/PI3K、p-Akt/Akt蛋白表达比较
Tab.6 Comparison of c-Kit, CD47, p-PI3K and p-Akt protein expressions in the colon tissue of the rats in each group (Mean±SD, n=3)
| Group | c-Kit/β-actin | CD47/β-actin | p-PI3K/PI3K | p-Akt/Akt |
|---|---|---|---|---|
| Control | 3.37±0.05 | 0.59±0.05 | 0.53±0.10 | 0.47±0.02 |
| Model | 1.24±0.14** | 1.26±0.07** | 1.24±0.02** | 1.19±0.04** |
| LH | 1.54±0.09** | 1.17±0.08** | 1.10±0.04** | 1.09±0.01** |
| MH | 2.30±0.10**## | 0.93±0.05**## | 0.80±0.05*## | 0.91±0.04**## |
| HH | 3.01±0.04*## | 0.62±0.05## | 0.55±0.08## | 0.53±0.02## |
| Positive drug | 2.44±0.21**## | 0.72±0.02## | 0.72±0.10## | 0.78±0.05**## |
| [1] | Pannemans J, Masuy I, Tack J. Functional constipation: individualising assessment and treatment[J]. Drugs, 2020, 80(10): 947-63. doi:10.1007/s40265-020-01305-z |
| [2] | 韩 洁, 袁乃荣, 宋丽璇, 等. 济川煎加味联合腹针治疗脾肾阳虚型慢传输型便秘对患者ET、NPY、SP的变化研究[J]. 中华中医药学刊, 2025, 43(11): 226-9. |
| [3] | Lin YP, Hsu PK, Wei JC. Comment on long-term risks of Parkinson’s disease, surgery, and colorectal cancer in patients with slow-transit constipation[J]. Clin Gastroenterol Hepatol, 2022, 20(11): 2657-8. doi:10.1016/j.cgh.2021.12.009 |
| [4] | 方国栋, 朱君华. 从《黄帝内经》脏腑辨证论“五脏皆令人秘”[J]. 中华中医药杂志, 2025, 40(3): 1353-6. |
| [5] | 冷 炎, 魏 玮, 唐旭东. 便秘中医诊疗专家共识(2024)[J]. 中医杂志, 2025, 66(3): 321-8. |
| [6] | Wang YH, Wang XP, Qian YF, et al. Naringenin attenuates slow-transit constipation by regulating the AMPK/mTOR/ULK1 signalling pathway: in vivo and in vitro studies[J]. Front Pharmacol, 2025, 16: 1550458. doi:10.3389/fphar.2025.1550458 |
| [7] | Foong D, Zhou J, Zarrouk A, et al. Understanding the biology of human interstitial cells of Cajal in gastrointestinal motility[J]. Int J Mol Sci, 2020, 21(12): 4540. doi:10.3390/ijms21124540 |
| [8] | 张惠贞, 张 红, 李 伟, 等. 基于PI3K/Akt/mTOR信号通路探讨蚕沙提取物对糖尿病胃轻瘫大鼠Cajal间质细胞的影响[J]. 中国实验方剂学杂志, 2024, 30(8): 66-73. |
| [9] | 张晓雯, 郑舒泽, 李 欣, 等. 首荟通便胶囊改善胃肠道间质细胞能量代谢的分子机制研究[J]. 中国中药杂志, 2021, 46(3): 526-31. |
| [10] | Liu XJ, Yang KM, Jia YB, et al. Chaihushugan powder regulates the gut microbiota to alleviate mitochondrial oxidative stress in the gastric tissues of rats with functional dyspepsia[J]. Front Immunol, 2025, 16: 1549554. doi:10.3389/fimmu.2025.1549554 |
| [11] | Doran AC, Yurdagul A Jr, Tabas I. Efferocytosis in health and disease[J]. Nat Rev Immunol, 2020, 20(4): 254-67. doi:10.1038/s41577-019-0240-6 |
| [12] | Zhang YF, Wang YR, Ding J, et al. Efferocytosis in multisystem diseases (review)[J]. Mol Med Rep, 2022, 25(1): 13. doi:10.3892/mmr.2021.12529 |
| [13] | Mehrotra P, Ravichandran KS. Drugging the efferocytosis process: concepts and opportunities[J]. Nat Rev Drug Discov, 2022, 21(8): 601-20. doi:10.1038/s41573-022-00470-y |
| [14] | Boada-Romero E, Martinez J, Heckmann BL, et al. The clearance of dead cells by efferocytosis[J]. Nat Rev Mol Cell Biol, 2020, 21(7): 398-414. doi:10.1038/s41580-020-0232-1 |
| [15] | 赖桂花, 谭金曲, 李萌萌, 等. 基于蛋白组学和实验验证揭示血必净注射液促进胞葬改善急性肺损伤的作用机制[J]. 中国中药杂志, 2025, 50(21): 6146-54. |
| [16] | 王凯鑫, 李 晖, 董海舰, 等. 胞葬在肝病中的作用研究进展[J]. 细胞与分子免疫学杂志, 2025, 41(1): 71-6. |
| [17] | Horst AK, Tiegs G, Diehl L. Contribution of macrophage efferocytosis to liver homeostasis and disease[J]. Front Immunol, 2019, 10: 2670. doi:10.3389/fimmu.2019.02670 |
| [18] | 满 如, 陈 萌, 于永铎. 化瘀通便汤治疗老年慢传输型便秘的疗效及对生活质量和结肠动力的影响[J]. 中国老年学杂志, 2022, 42(11): 2686-9. |
| [19] | Yan S, Yue YZ, Sun MM, et al. Suppressive effect of Aurantii Fructus Immaturus and Atractylodis Macrocephalae Rhizoma on glutamic acid-induced autophagy of interstitial cells of Cajal[J]. J Integr Med, 2020, 18(4): 334-43. doi:10.1016/j.joim.2020.04.005 |
| [20] | 王文凤, 刘富林, 夏旭婷, 等. 枳术丸对脾虚证慢传输型便秘小鼠结肠PI3K、AKT表达的影响[J]. 中华中医药杂志, 2020, 35(6): 2824-8. |
| [21] | Duan Y, Haybaeck J, Yang ZH. Therapeutic potential of PI3K/AKT/mTOR pathway in gastrointestinal stromal tumors: rationale and progress[J]. Cancers (Basel), 2020, 12(10): 2972. doi:10.3390/cancers12102972 |
| [22] | 孟中华, 尚莎莎, 王建茹, 等. 巨噬细胞PI3K/Akt通路与动脉粥样硬化的研究进展[J]. 中国免疫学杂志, 2022, 38(1): 102-6. |
| [23] | Gerlach BD, Ampomah PB, Yurdagul A Jr, et al. Efferocytosis induces macrophage proliferation to help resolve tissue injury[J]. Cell Metab, 2021, 33(12): 2445-63.e8. doi:10.1016/j.cmet.2021.10.015 |
| [24] | 张远哲, 赵罗娜, 简胜男, 等. 3种方法建立阳虚型慢传输型便秘大鼠模型的比较研究[J]. 中国实验动物学报, 2023, 31(5): 618-28. |
| [25] | 魏 伟, 吴希美, 李元建. 药理实验方法学[M]. 北京: 人民卫生出版社, 2010: 70. |
| [26] | 倪雅娟, 白鸿远, 朱文静, 等. 松果菊苷通过上调PGC-1/NFR信号通路促进线粒体生物合成抑制心肌细胞凋亡[J]. 西安交通大学学报: 医学版, 2022, 43(4): 607-11. |
| [27] | Sanders KM, Drumm BT, Cobine CA, et al. Ca2+ dynamics in interstitial cells: foundational mechanisms for the motor patterns in the gastrointestinal tract[J]. Physiol Rev, 2024, 104(1): 329-98. doi:10.1152/physrev.00036.2022 |
| [28] | Wang H, Ren BB, Pan J, et al. Effect of miR-129-3p on autophagy of interstitial cells of Cajal in slow transit constipation through SCF C-kit signaling pathway[J]. Acta Biochim Pol, 2022, 69(3): 579-86. |
| [29] | Liu XJ, Wu X, Wang YM, et al. CD47 promotes human glioblastoma invasion through activation of the PI3K/Akt pathway[J]. Oncol Res, 2019, 27(4): 415-22. doi:10.3727/096504018x15155538502359 |
| [30] | van Duijn A, Van der Burg SH, Scheeren FA. CD47/SIRPα axis: bridging innate and adaptive immunity[J]. J Immunother Cancer, 2022, 10(7): e004589. doi:10.1136/jitc-2022-004589 |
| [31] | Logtenberg MEW, Scheeren FA, Schumacher TN. The CD47-SIRPα immune checkpoint[J]. Immunity, 2020, 52(5): 742-52. doi:10.1016/j.immuni.2020.04.011 |
| [32] | Grabinger T, Bode KJ, Demgenski J, et al. Inhibitor of apoptosis protein-1 regulates tumor necrosis factor-mediated destruction of intestinal epithelial cells[J]. Gastroenterology, 2017, 152(4): 867-79. doi:10.1053/j.gastro.2016.11.019 |
| [33] | Myers KV, Amend SR, Pienta KJ. Targeting Tyro3, axl and MerTK (TAM receptors): implications for macrophages in the tumor microenvironment[J]. Mol Cancer, 2019, 18(1): 94. doi:10.1186/s12943-019-1022-2 |
| [34] | Eisenman ST, Gibbons SJ, Verhulst PJ, et al. Tumor necrosis factor alpha derived from classically activated “M1” macrophages reduces interstitial cell of Cajal numbers[J]. Neurogastroenterol Motil, 2017, 29(4): 10.1111/nmo.12984. doi:10.1111/nmo.12984 |
| [35] | Tian LG, Song SN, Zhu BB, et al. Electroacupuncture at ST-36 protects interstitial cells of Cajal via sustaining heme oxygenase-1 positive M2 macrophages in the stomach of diabetic mice[J]. Oxid Med Cell Longev, 2018, 2018: 3987134. doi:10.1155/2018/3987134 |
| [1] | 杨佳瑶, 何玉莲, 郭延垒, 尚芳红, 花雷, 阳勇, 张小梅, 魏江平. 党参-茯苓配伍调控ERα/PI3K/Akt信号通路改善单侧颈总动脉永久结扎痴呆大鼠的认知障碍[J]. 南方医科大学学报, 2026, 46(2): 247-258. |
| [2] | 赵铖, 李稳, 郑宝寿, 王光明, 肖芝松, 李云鹏. lncRNA SNHG12与ELAVL1相互作用激活PI3K/AKT信号通路促进前列腺癌细胞多西他赛的耐药机制[J]. 南方医科大学学报, 2026, 46(1): 183-190. |
| [3] | 饶璐, 丁家和, 魏江平, 阳勇, 张小梅, 王计瑞. 槐花通过抑制PI3K/AKT通路减轻炎症反应治疗银屑病[J]. 南方医科大学学报, 2025, 45(9): 1989-1996. |
| [4] | 徐皓男, 张放, 黄钰莹, 姚其盛, 管悦琴, 陈浩. 百蕊草通过调节肠道菌群和调控EGFR/PI3K/Akt信号通路改善小鼠抗生素相关性腹泻[J]. 南方医科大学学报, 2025, 45(2): 285-295. |
| [5] | 裴月娇, 刘慧敏, 昕宇, 刘波. miR-124通过调控PI3K/AKT信号通路改善睡眠剥夺大鼠认知功能[J]. 南方医科大学学报, 2025, 45(2): 340-346. |
| [6] | 刘柳青, 王坤, 王雪晴, 杜冰心. 枸杞多糖通过下调miR-23a减轻顺铂诱导的颗粒细胞损伤[J]. 南方医科大学学报, 2025, 45(11): 2340-2349. |
| [7] | 张可妮, 乔通, 尹林, 黄菊, 耿志军, 左芦根, 胡建国, 李静. 球松素靶向肠上皮细胞PI3K/AKT/CCL2轴抑制巨噬细胞肠道浸润缓解葡聚糖硫酸钠诱导的小鼠结肠炎[J]. 南方医科大学学报, 2025, 45(10): 2199-2209. |
| [8] | 张玉如, 万磊, 方昊翔, 李方泽, 王丽文, 李柯霏, 闫佩文, 姜辉. miR-155-5p介导PIK3R1负调控PI3K/AKT信号通路促进原发性干燥综合征人唾液腺上皮细胞增殖[J]. 南方医科大学学报, 2025, 45(1): 65-71. |
| [9] | 向珊, 张宗星, 江露, 刘道忠, 李玮怡, 包卓玛, 田瑞, 陈丹, 袁林. 三百棒通过调控PI3K/Akt信号通路改善胶原诱导性类风湿性关节炎大鼠的血管翳[J]. 南方医科大学学报, 2024, 44(8): 1582-1588. |
| [10] | 张先恒, 刘健, 韩琦, 陈一鸣, 丁香, 陈晓露. 黄芩清热除痹胶囊通过PTEN/PI3K/AKT信号通路改善痛风性关节炎大鼠的炎症反应及尿酸、脂质代谢失衡[J]. 南方医科大学学报, 2024, 44(8): 1450-1458. |
| [11] | 王媛媛, 陈腾, 从小凡, 李依然, 陈蕊, 张配, 孙小锦, 赵素容. 扁蒴藤素通过活性氧调控PI3K/AKT通路增强顺铂诱导鼻咽癌细胞凋亡[J]. 南方医科大学学报, 2024, 44(5): 904-912. |
| [12] | 黄 莉, 程索婷, 刘 竹, 邹纯才, 鄢海燕. 决明子脐贴对慢传输型便秘大鼠的治疗作用及谱效关系[J]. 南方医科大学学报, 2024, 44(4): 720-726. |
| [13] | 高晓阳, 赵晓璐, 张春艳, 颜羽昕, 金 蓉, 马月宏. 槲皮素诱导肝星状细胞凋亡:基于调控miR-146影响PI3K/Akt信号通路[J]. 南方医科大学学报, 2023, 43(10): 1725-1733. |
| [14] | 范晓丽, 王 娟, 王梨明. 甘草查尔酮A通过调控PI3K/AKT信号通路诱导肺鳞癌细胞周期阻滞[J]. 南方医科大学学报, 2023, 43(1): 111-116. |
| [15] | 刘见荣, 沈卫星, 程海波, 范旻旻, 肖 君, 徐长亮, 谭佳妮, 赖岳阳, 余成涛, 孙东东, 李 柳. 参白解毒方显著抑制小鼠结直肠腺瘤的形成及癌变: 基于PTEN/PI3K/AKT通路[J]. 南方医科大学学报, 2022, 42(10): 1452-1461. |
| 阅读次数 | ||||||
|
全文 |
|
|||||
|
摘要 |
|
|||||