Journal of Southern Medical University ›› 2026, Vol. 46 ›› Issue (3): 629-637.doi: 10.12122/j.issn.1673-4254.2026.03.16

Previous Articles    

Yiqi Jiedu Formula regulates immune microenvironment of liver cancer in mice by inhibiting overactivation of NF-κB signaling pathway

Ze'an WANG1(), Lili LIU2, Mei SHI2, Yong HOU2, Lili DONG3, Guoliang ZHANG2()   

  1. 1.First Clinical Medical College, Anhui University of Chinese Medicine, Hefei 230038, China
    2.Department of Infectious Diseases, First Affiliated Hospital of Anhui University of Chinese Medicine, Hefei 230031, China
    3.Department of Liver Diseases, Anhui Hospital of Shanghai Shuguang Hospital, Hefei 230031, China
  • Received:2025-08-05 Online:2026-03-20 Published:2026-03-26
  • Contact: Guoliang ZHANG E-mail:zf_wangzean@126.com;zhangguoliang61@sina.com

Abstract:

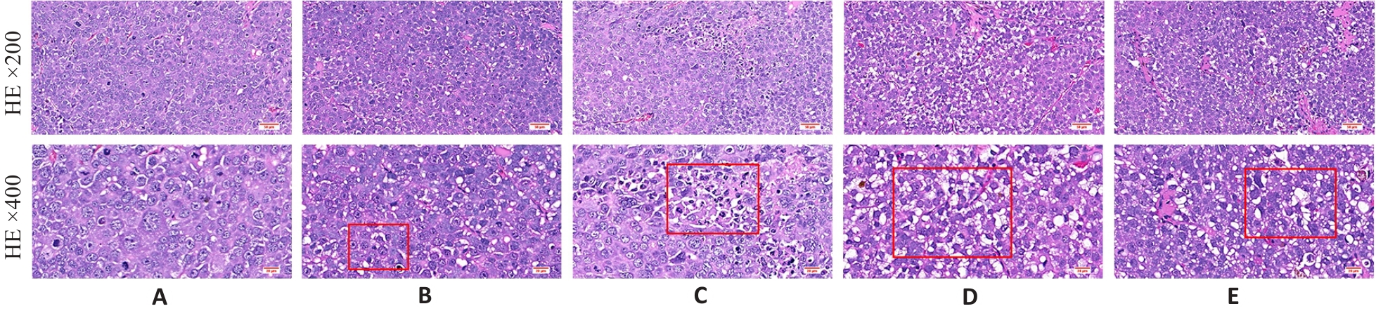
Objective To investigate the regulatory mechanism of Yiqi Jiedu Formula on immune microenvironment of hepatocellular carcinoma (HCC) in mice. Methods Forty male BALB/c mice bearing subcutaneous Hep3B cell xenografts were randomized equally into model group (with normal saline treatment), Huachansu Tablet group, and low- (0.5 g/kg), medium- (1 g/kg), and high-dose (2 g/kg) Yiqi Jiedu Formula groups. All the mice received daily gavage of the corresponding treatments for 28 consecutive days, and the changes in tumor weight and volume were recorded every 7 days, and tumor inhibition rate was calculated after the final administration. Histopathological changes in the tumor tissues were observed with HE staining, and polarization of M1/M2 macrophages was analyzed with flow cytometry. The mRNA and protein expressions of iNOS, Arg-1, p65, and p50 in the tumor tissues were detected using q-PCR and Western blotting, and CD86 and CD206 protein expressions were observed with immunofluorescence staining. Serum levels of IL-4, IL-6, IL-10, IFN‑γ, TNF‑α, and TGF‑β1 of the mice were measured using ELISA. Results The mice in the 3 Yiqi Jiedu Formula groups showed significant reductions in tumor weight and volume with decreased tumor cell count, increased tumor cell apoptosis, increased percentage of M1 macrophages, and decreased percentage of M2 macrophages. The treatment obviously upregulated CD86 and downregulated CD206 expression in the tumor tissue, lowered the protein and mRNA expressions of iNOS, Arg-1, p65, and p50, reduced serum levels of IL-4, IL-10, TNF‑α, and TGF-β1, and increased serum levels of IL-6 and IFN-γ in the tumor-bearing mice. Conclusion Yiqi Jiedu Formula effectively inhibits Hep3B cell xenograft growth in mice and induces a shift of M1/M2 ratio by promoting M1 polarization, thereby ameliorating the immunosuppressive tumor microenvironment and enhancing anti-tumor immunity possibly in association with inhibition of NF-κB signaling pathway overactivation.

Key words: primary liver cancer, Yiqi Jiedu Formula, macrophages, immune microenvironment, signaling pathway