Journal of Southern Medical University ›› 2025, Vol. 45 ›› Issue (11): 2437-2443.doi: 10.12122/j.issn.1673-4254.2025.11.16
Yulan WANG1(
), Xiang FANG1,2(
), Zeming CHEN1, Bingkun RUAN1, Xinli HAN1, Yujie TANG1, Luyao ZHU1
Received:2025-05-01
Online:2025-11-20
Published:2025-11-28
Contact:
Xiang FANG
E-mail:wangyulan0326@163.com;fxdxx@ahtcm.edu.cn
Yulan WANG, Xiang FANG, Zeming CHEN, Bingkun RUAN, Xinli HAN, Yujie TANG, Luyao ZHU. Qingre Lidan Jiedu Recipe improves high copper load-induced cognitive dysfunction in rats by regulating mitophagy[J]. Journal of Southern Medical University, 2025, 45(11): 2437-2443.
Add to citation manager EndNote|Ris|BibTeX
URL: https://www.j-smu.com/EN/10.12122/j.issn.1673-4254.2025.11.16
| Group | 1 day | 2 days | 3 days | 4 days |
|---|---|---|---|---|
| NG | 203.12±26.11 | 157.55±30.61 | 79.14±17.49 | 50.01±15.38 |
| MG | 230.58±21.851) | 204.83±38.172) | 142.24±15.022) | 134.99±32.442) |
| TCM | 215.44±16.70 | 190.55±29.41 | 124.26±28.702) | 117.23±14.602) |
| PCA | 212.14±16.81 | 187.89±25.33 | 125.87±30.752) | 120.49±15.222) |
| TCM+PCA | 209.21±10.49 | 186.68±19.86 | 117.89±26.671) | 106.59±12.452)3) |
Tab.1 Comparison of the target hole latency time in the Barnes maze experiment during the training period among the groups (Mean±SD, n=8)
| Group | 1 day | 2 days | 3 days | 4 days |
|---|---|---|---|---|
| NG | 203.12±26.11 | 157.55±30.61 | 79.14±17.49 | 50.01±15.38 |
| MG | 230.58±21.851) | 204.83±38.172) | 142.24±15.022) | 134.99±32.442) |
| TCM | 215.44±16.70 | 190.55±29.41 | 124.26±28.702) | 117.23±14.602) |
| PCA | 212.14±16.81 | 187.89±25.33 | 125.87±30.752) | 120.49±15.222) |
| TCM+PCA | 209.21±10.49 | 186.68±19.86 | 117.89±26.671) | 106.59±12.452)3) |
| Group | 5 days (Short-term memory) | 12 days (Long-term memory) |
|---|---|---|
| NG | 16.02±5.54 | 17.88±10.21 |
| MG | 49.08±13.542) | 50.32±23.642) |
| TCM | 32.99±10.911)3) | 31.26±19.934) |
| PCA | 35.51±11.992) | 33.11±20.101)4) |
| TCM+PCA | 29.21±10.254) | 28.55±18.924) |
Tab.2 Comparison of target hole latency time during the test period of the Barnes maze experiment among the groups (Mean±SD, n=8)
| Group | 5 days (Short-term memory) | 12 days (Long-term memory) |
|---|---|---|
| NG | 16.02±5.54 | 17.88±10.21 |
| MG | 49.08±13.542) | 50.32±23.642) |
| TCM | 32.99±10.911)3) | 31.26±19.934) |
| PCA | 35.51±11.992) | 33.11±20.101)4) |
| TCM+PCA | 29.21±10.254) | 28.55±18.924) |
| Group | Latency (s) | Error count |
|---|---|---|
| NG | 189.02±58.94 | 1.75±1.40 |
| MG | 64.07±40.382) | 7.75±1.042) |
| TCM | 155.22±40.824) | 4.75±1.282)4)6) |
| PCA | 152.01±48.444) | 5.00±1.692)4)6) |
| TCM+PCA | 179.73±38.114) | 2.13±1.964) |
Tab.3 Comparison of latency and error counts in dark avoidance test among the groups (Mean±SD, n=8)
| Group | Latency (s) | Error count |
|---|---|---|
| NG | 189.02±58.94 | 1.75±1.40 |
| MG | 64.07±40.382) | 7.75±1.042) |
| TCM | 155.22±40.824) | 4.75±1.282)4)6) |
| PCA | 152.01±48.444) | 5.00±1.692)4)6) |
| TCM+PCA | 179.73±38.114) | 2.13±1.964) |
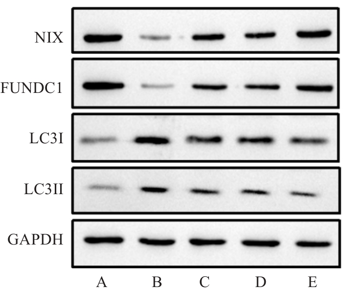
| Group | NIX | FUNDC1 | LC3I | LC3Ⅱ |
|---|---|---|---|---|
| NG | 0.99±0.12 | 1.07±0.15 | 0.32±0.05 | 0.36±0.08 |
| MG | 0.28±0.052) | 0.26±0.102) | 0.91±0.052) | 0.95±0.052) |
| TCM | 0.62±0.062)4)5) | 0.59±0.052)4)5) | 0.67±0.062)4)6) | 0.66±0.132)4) |
| PCA | 0.58±0.042)4)5) | 0.59±0.032)4)5) | 0.66±0.112)3)6) | 0.65±0.102)4) |
| TCM+PCA | 0.81±0.084) | 0.80±0.071)4) | 0.44±0.044) | 0.47±0.054) |
Tab.4 Comparison of relative expression levels of NIX, FUNDC1, LC3I, and LC3II proteins in the hippocampus among the groups (Mean±SD, n=3)
| Group | NIX | FUNDC1 | LC3I | LC3Ⅱ |
|---|---|---|---|---|
| NG | 0.99±0.12 | 1.07±0.15 | 0.32±0.05 | 0.36±0.08 |
| MG | 0.28±0.052) | 0.26±0.102) | 0.91±0.052) | 0.95±0.052) |
| TCM | 0.62±0.062)4)5) | 0.59±0.052)4)5) | 0.67±0.062)4)6) | 0.66±0.132)4) |
| PCA | 0.58±0.042)4)5) | 0.59±0.032)4)5) | 0.66±0.112)3)6) | 0.65±0.102)4) |
| TCM+PCA | 0.81±0.084) | 0.80±0.071)4) | 0.44±0.044) | 0.47±0.054) |
Fig.1 Effect of Qingre Lidan Jiedu Recipe on protein expression of NIX, FUNDC1, LC3I, and LC3II in the hippocampus of the rats in each group. A: NG group; B: MG group; C: TCM group; D: PCA group; E: TCM+PCA group.
Fig.2 Effects of Qingre Lidan Jiedu Recipe on the fluorescence intensities of NIX, FUNDC1 and LC3 in the hippocampus of the rats in each group (scale bar=20 μm). A: NG group; B: MG group; C: TCM group; D: PCA group; E: TCM+PCA group.
| Group | NIX(×107) | FUNDC1 (×107) | LC3(×107) |
|---|---|---|---|
| NG | 16.35±0.24 | 14.44±1.79 | 1.80±0.42 |
| MG | 3.24±0.782) | 1.17±0.122) | 19.42±3.142) |
| TCM | 4.27±1.112)6) | 3.32±0.392)5) | 8.14±1.852)4)6) |
| PCA | 4.75±1.412)6) | 3.27±1.682)5) | 5.20±0.954) |
| TCM+PCA | 8.34±0.672)4) | 6.26±0.624) | 1.37±0.114) |
Tab.5 Total fluorescence intensities of NIX, FUNDC1, and LC3 in the hippocampus of the rats in each group (Mean±SD, n=3)
| Group | NIX(×107) | FUNDC1 (×107) | LC3(×107) |
|---|---|---|---|
| NG | 16.35±0.24 | 14.44±1.79 | 1.80±0.42 |
| MG | 3.24±0.782) | 1.17±0.122) | 19.42±3.142) |
| TCM | 4.27±1.112)6) | 3.32±0.392)5) | 8.14±1.852)4)6) |
| PCA | 4.75±1.412)6) | 3.27±1.682)5) | 5.20±0.954) |
| TCM+PCA | 8.34±0.672)4) | 6.26±0.624) | 1.37±0.114) |
| [1] | Lucena-Valera A, Ruz-Zafra P, Ampuero J. Wilson’s disease: overview[J]. Med Clínica Engl Ed, 2023, 160(6): 261-7. doi:10.1016/j.medcle.2022.12.004 |
| [2] | 裴 培, 张 静, 陈怀珍, 等. 肝豆状核变性新型生物标志物相对可交换铜及认知功能与中医证型的相关性研究[J]. 标记免疫分析与临床, 2024, 31(9): 1630-5. |
| [3] | 董 婷, 杨文明, 张 娟, 等. 肝豆灵对Wilson病患者前瞻性记忆功能的影响[J]. 安徽中医药大学学报, 2018, 37(1): 13-6. |
| [4] | 刘康文, 方 向, 金 珊, 等. 清热利胆解毒方对铜负荷大鼠学习记忆功能及海马区突触相关蛋白的影响[J]. 时珍国医国药, 2022, 33(6): 1339-41. |
| [5] | 方 向, 金 珊, 鲍远程, 等. 清热利胆解毒方对铜负荷大鼠学习记忆及海马超微结构的影响[J]. 中华中医药杂志, 2015, 30(7): 2564-6. |
| [6] | 秦雨. 基于Nrf2/Ho-1/线粒体轴的清热利胆解毒方维持海马线粒体稳态改善Wilson病认知障碍的机制研究[D]. 安徽中医药大学, 2024. |
| [7] | Xu JJ, Jiang HZ, Li JQ, et al. 1H NMR-based metabolomics investigation of copper-laden rat: a model of Wilson’s disease[J]. PLoS One, 2015, 10(4): e0119654. doi:10.1371/journal.pone.0119654 |
| [8] | 孙正哲, 方 向, 金 珊, 等. 基于突触相关蛋白探讨清热利胆解毒方干预高铜诱导大鼠抑郁样行为的作用机制[J]. 四川中医, 2023, 41(8): 65-70. |
| [9] | 涂静怡, 王世成, 申长庆, 等. 线粒体功能障碍对认知的影响[J]. 中国细胞生物学学报, 2024, 46(5): 1054-63. |
| [10] | Gao F, Yang J, Wang DD, et al. Mitophagy in Parkinson’s disease: pathogenic and therapeutic implications[J]. Front Neurol, 2017, 8: 527. doi:10.3389/fneur.2017.00527 |
| [11] | 马穰桂, 夏 志, 尚画雨. 线粒体自噬相关受体蛋白研究进展[J]. 生理学报, 2021, 73(6): 1025-34. |
| [12] | 范昕怡, 魏小棋, 柴王静, 等. 基于PINK1-Parkin通路探讨鸡鸣散改善线粒体自噬治疗心肌梗死的效应机制研究[J]. 中国中药杂志, 2025, 50(12): 3346-55. |
| [13] | Marinković M, Šprung M, Novak I. Dimerization of mitophagy receptor BNIP3L/NIX is essential for recruitment of autophagic machinery[J]. Autophagy, 2021, 17(5): 1232-43. doi:10.1080/15548627.2020.1755120 |
| [14] | 张泰铭. FUNDC1通过促进线粒体自噬调控缺氧状态下帕金森病的作用及机制研究[D]. 沈阳: 中国医科大学, 2023. |
| [15] | 唐嘉麟, 王一帆, 邓晓桦, 等. FUNDC1介导的线粒体自噬在肥胖性心肌病中信号通路的研究进展[J]. 中国心血管杂志, 2024, 29(5): 475-80. |
| [16] | Li SQ, Zhou Y, Gu XC, et al. NLRX1/FUNDC1/NIPSNAP1-2 axis regulates mitophagy and alleviates intestinal ischaemia/reperfusion injury[J]. Cell Prolif, 2021, 54(3): e12986. doi:10.1111/cpr.12986 |
| [17] | Kato M, Ospelt C, Gay RE, et al. Dual role of autophagy in stress-induced cell death in rheumatoid arthritis synovial fibroblasts[J]. Arthritis Rheumatol, 2014, 66(1): 40-8. doi:10.1002/art.38190 |
| [18] | 夏 冉, 朱国旗, 高 兵, 等. 盐酸阿霉素通过DRP1/FUNDC1信号通路调节线粒体动力学诱导大鼠慢性心力衰竭[J]. 中国药理学通报, 2022, 38(11): 1661-6. |
| [19] | 孙 泰, 陆雅春, 宁 芬, 等. 肝豆状核变性的中医证型特点及其肝肾功能、氧化应激指标的变化情况[J]. 环球中医药, 2021, 14(9): 1701-4. |
| [20] | 钱南南, 魏涛华, 杨文明, 等. 中医治疗肝豆状核变性用药规律数据挖掘研究[J]. 中国中医药信息杂志, 2021, 28(10): 29-36. |
| [21] | 饶志红, 杨文明, 杨玉龙, 等. 肝豆状核变性“肝-肾-脑” 轴病机阐释及中医辨治策略[J/OL]. 北京中医药大学学报, 2025,[Epub ahead of print].. |
| [22] | 方 向, 金 珊, 鲍远程, 等. 清热利胆解毒方中药对铜负荷大鼠学习记忆和海马区ERK表达的影响[J]. 时珍国医国药, 2015, 26(2): 292-4. |
| [23] | 傅亚瑜. 基于Ghrelin相关信号通路的清热利胆解毒方对Wilson病认知障碍的干预机制研究[D]. 合肥: 安徽中医药大学, 2021. |
| [24] | Semwal RB, Semwal DK, Combrinck S, et al. Emodin - A natural anthraquinone derivative with diverse pharmacological activities[J]. Phytochemistry, 2021, 190: 112854. doi:10.1016/j.phytochem.2021.112854 |
| [25] | 张红博. 大黄肝豆汤联合青霉胺治疗肝豆状核变性的疗效观察[J]. 国际中医中药杂志, 2007, 29(3): 141-3. |
| [26] | 陈书煌, 杜 伟, 邓静嫔, 等. 小檗碱通过PI3K/AKT信号通路对体外膀胱癌细胞的增殖、侵袭、凋亡及细胞周期的作用机制[J]. 中国老年学杂志, 2024, 44(19): 4802-6. |
| [27] | 谭 俊, 张品晶, 张海峰. 姜黄素调控ATP/P2X4/NLRP3/Caspase-1信号通路改善脑出血小鼠神经功能[J]. 解剖科学进展, 2024, 30(6): 599-602. |
| [28] | Ryu G, Ma CJ. Neuroprotective activity of methanolic extract of Lysimachia christinae against glutamate toxicity in HT22 cell and its protective mechanisms[J]. Evid Based Complement Alternat Med, 2020, 2020: 5352034. doi:10.1155/2020/5352034 |
| [29] | 王汉隆, 孙 洋, 刘莎莎, 等. 三七皂苷R1药理作用机制与神经保护作用研究进展[J]. 中国药理学通报, 2024, 40(11): 2020-5. |
| [1] | Yunhong YU, Wei XIE, Hui LI. Chaihu Shugan Decoction improves cognitive impairment after epilepsy in rats by regulating hippocampal NMDAR subunits via upregulating ASIC1 [J]. Journal of Southern Medical University, 2025, 45(7): 1506-1512. |
| [2] | Jiachun LUO, Sodnomjamts Batzaya, Xuefeng GAO, Jingyu CHEN, Zhengying YU, Shasha XIONG, Hong CAO. Akkermansia muciniphila gavage improves gut-brain interaction disorders in gp120 transgenic mice [J]. Journal of Southern Medical University, 2025, 45(3): 554-565. |
| [3] | Qi CHEN, Tiantian XIA, Yongqiang ZHOU, Mingyang CHANG, Nan HU, Yanmei YANG, Zhong LI, Yue GAO, Bin GU. Prevotella nigrescens exacerbates periodontal inflammation and impairs cognitive function in mice [J]. Journal of Southern Medical University, 2025, 45(3): 453-460. |
| [4] | ZHANG Xiaoyan, WANG Xie, WANG Jie, SHAO Nan, CAI Biao, XIE Daojun. Huangpu Tongqiao Capsule improves cognitive impairment in rats with Wilson disease by inhibiting endoplasmic reticulum stress-mediated apoptosis pathway [J]. Journal of Southern Medical University, 2024, 44(3): 447-454. |
| [5] | . Analysis of brain perfusion single-photon emission tomography images using an easy Z-score imaging system for early diagnosis of Alzheimer's disease [J]. Journal of Southern Medical University, 2021, 41(7): 1093-1100. |
| [6] | . Propofol combined with hypoxia induces cognitive dysfunction in immature rats via p38 pathway [J]. Journal of Southern Medical University, 2018, 38(11): 1294-. |
| [7] |
.
Association of NMDAR, NR2A, and NR2B with cognitive impairment in diabetic patients [J]. Journal of Southern Medical University, 2013, 33(12): 1848-. |
| Viewed | ||||||
|
Full text |
|
|||||
|
Abstract |
|
|||||