Journal of Southern Medical University ›› 2025, Vol. 45 ›› Issue (11): 2330-2339.doi: 10.12122/j.issn.1673-4254.2025.11.05

Previous Articles    

Molecular mechanism of Xixian Pills for improving rheumatoid arthritis in rats: a proteomic analysis

Yahui LI1(), Xin YANG2,4(), Xueming YAO3, Cong HUANG2,3   

  1. 1.School of Information Engineering, Guizhou University of Traditional Chinese Medicine, Guiyang 550025, China
    2.School of Basic Medicine, Guizhou University of Traditional Chinese Medicine, Guiyang 550025, China
    3.Second Affiliated Hospital, Guizhou University of Traditional Chinese Medicine, Guiyang 550025, China
    4.Key Laboratory of Properties and Effects of Traditional Chinese Medicine (Ethnic Medicine) of Guizhou Province, Guizhou University of Traditional Chinese Medicine, Guiyang 550025, China
  • Received:2025-03-05 Online:2025-11-20 Published:2025-11-28
  • Contact: Xin YANG E-mail:3844639309@qq.com;25066640@qq.com

Abstract:

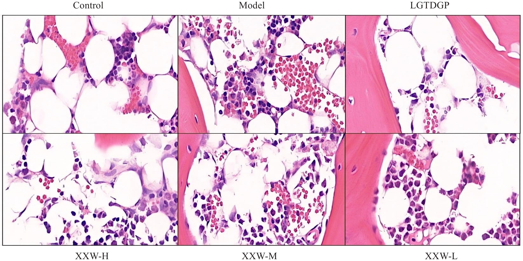
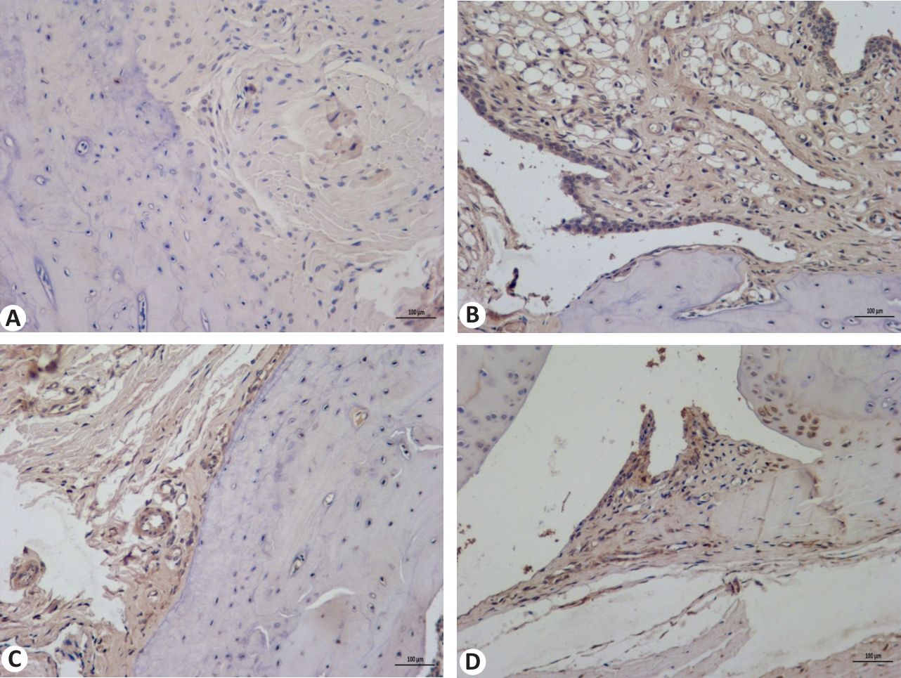
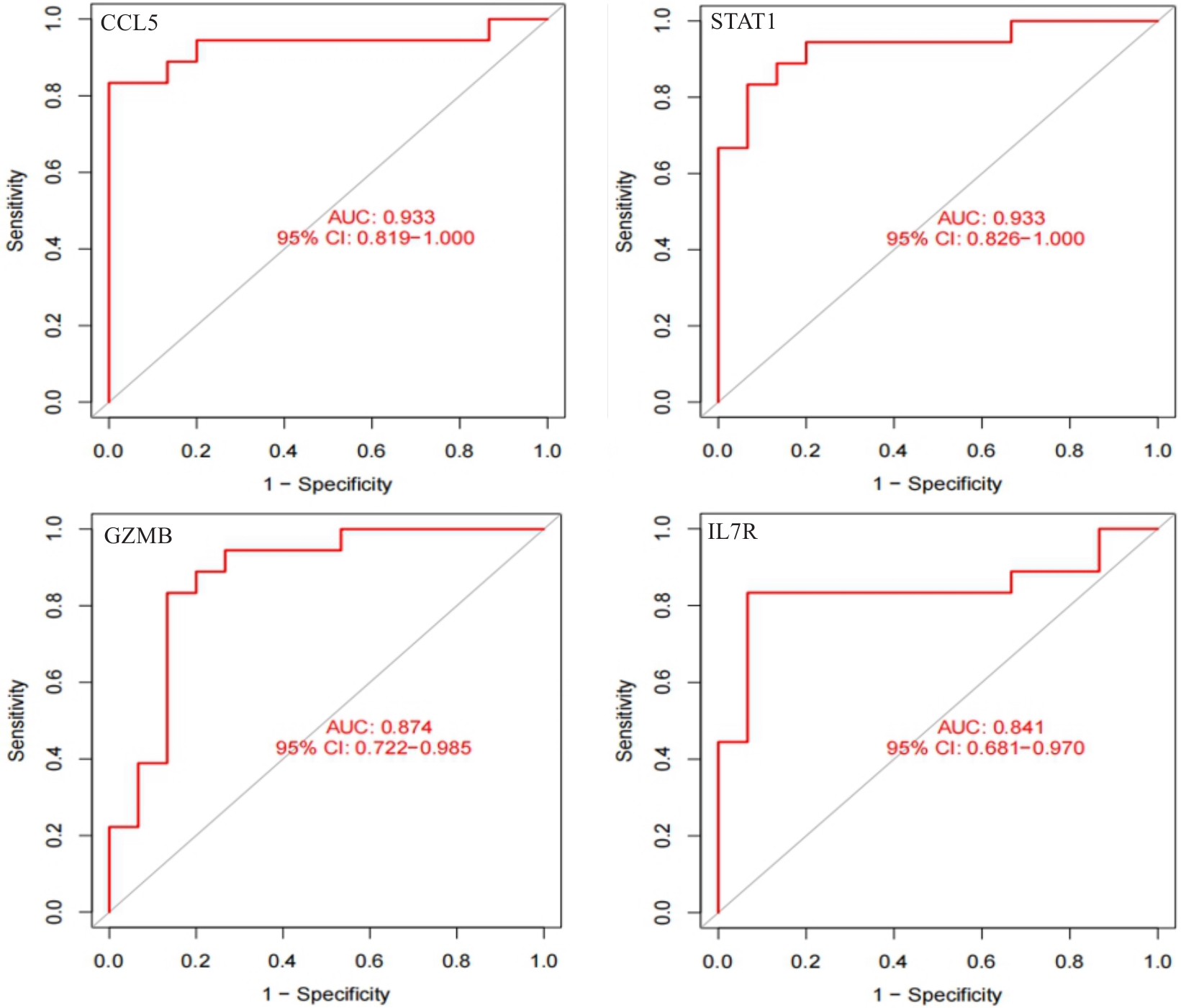
Objective To analyze the molecular mechanism of Xixian Pills for treatment of rheumatoid arthritis (RA). Methods Forty-eight rats were randomized into 6 groups (n=8), including a normal control group, a collagen-induced arthritis (CIA) model group, 3 Xixian Pills treatment (200, 400 and 800 mg/kg) groups, and a Tripterygium glycosides tablet (TGT) treatment group. In the latter 4 groups, the rats were treated with daily gavage of Xixian Pills or TGT 2 weeks after CIA modeling for 3 consecutive weeks. The differentially expressed proteins in high-dose Xixian Pills group and the model group compared with the normal control group were screened based on the tandem mass spectrometry tag (TMT) technology, and the core targets and signaling pathways were analyzed. The immune cell infiltration and gene expression data were analyzed using ggplot2 and tidyverse packages, and the correlation coefficients between the core targets and the immune cells were calculated. Results The CIA rats showed significantly increased serum levels of TNF-α and IL-6 and lowered serum IL-10 level. Treatments with high- and medium-dose Xixian Pills and TGT all significantly reduced serum TNF‑α and IL-6 and increased IL-10 levels in CIA rats. Proteomic analysis identified 160 differential proteins between the model group and high-dose Xixian Pills group, and the core targets included CCL5, STAT1, GZMB and IL7R. The areas under the ROC curve of CCL5 and STAT1 were both greater than 0.9. Immunohistochemical and immunofluorescence staining revealed increased levels of CCL5 and STAT1 in the ankle joints of CIA rats, which were significantly decreased after treatment with Xixian Pills. Conclusion Treatment with Xixian Pills offers protection of the joints in CIA rats possibly by inhibiting joint inflammation via regulating protein expressions of CCL5 and STAT1.

Key words: Xixian Pills, rheumatoid arthritis, proteomics, immune cell infiltration