Journal of Southern Medical University ›› 2026, Vol. 46 ›› Issue (3): 707-714.doi: 10.12122/j.issn.1673-4254.2026.03.24
Fang TANG1,2(
), Yongyi WANG1(
), Tingting LIANG1, Weiying HE1, Huilv LAO1, Jiale SONG1,3,4(
)
Received:2025-08-16
Online:2026-03-20
Published:2026-03-26
Contact:
Jiale SONG
E-mail:3257377147@qq.com;3197299839@qq.com;songjiale@glmc.edu.cn
Fang TANG, Yongyi WANG, Tingting LIANG, Weiying HE, Huilv LAO, Jiale SONG. Folic acid supplementation alleviates high-salt diet-induced renal fibrosis in mice[J]. Journal of Southern Medical University, 2026, 46(3): 707-714.
Add to citation manager EndNote|Ris|BibTeX
URL: https://www.j-smu.com/EN/10.12122/j.issn.1673-4254.2026.03.24
| Gene | Forward primer (5'→3') | Revise primer (5'→3') |
|---|---|---|
| Ecadherin | GGGACAAAGAAACAAAGGT | TGACACGGCATGAGAATAG |
| Vimentin | AGCCTCTATTCCTCATCCC | TAGTTGGCAAAGCGGTCAT |
| αSma | AGCATCCGACCTTGCTAACG | CCAGAGTCCAGCACAATACCAG |
| Kim1 | ATGGCACTGTGACATCCTC | CCAACATAGAAGCCCTTAG |
Tab.1 Primer sequences used in this study
| Gene | Forward primer (5'→3') | Revise primer (5'→3') |
|---|---|---|
| Ecadherin | GGGACAAAGAAACAAAGGT | TGACACGGCATGAGAATAG |
| Vimentin | AGCCTCTATTCCTCATCCC | TAGTTGGCAAAGCGGTCAT |
| αSma | AGCATCCGACCTTGCTAACG | CCAGAGTCCAGCACAATACCAG |
| Kim1 | ATGGCACTGTGACATCCTC | CCAACATAGAAGCCCTTAG |
Fig.1 Effect of folic acid (FA) supplementation on body weight, food intake and water consumption in mice fed a high-salt (HS) diet (n=7). *P<0.05, **P<0.01 vs CON, #P<0.05 vs HS.
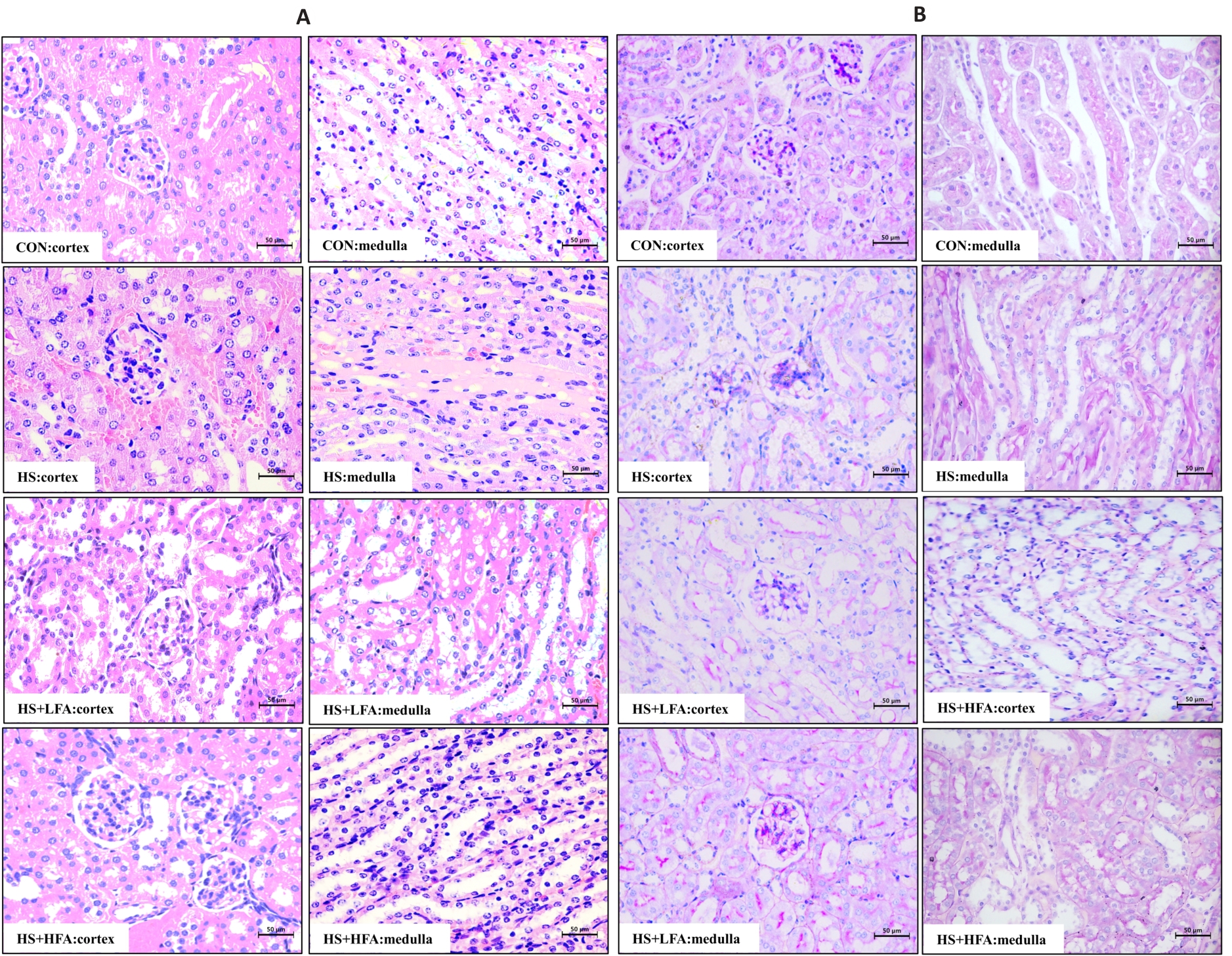
Fig.5 Effect of FA on histopathology of the renal cortex and medulla in mice fed a HS diet (HE/PAS staining, original magnification: ×400). A: HE staining (Scale bar=50 μm). B: PAS staining (Scale bar=50 μm).
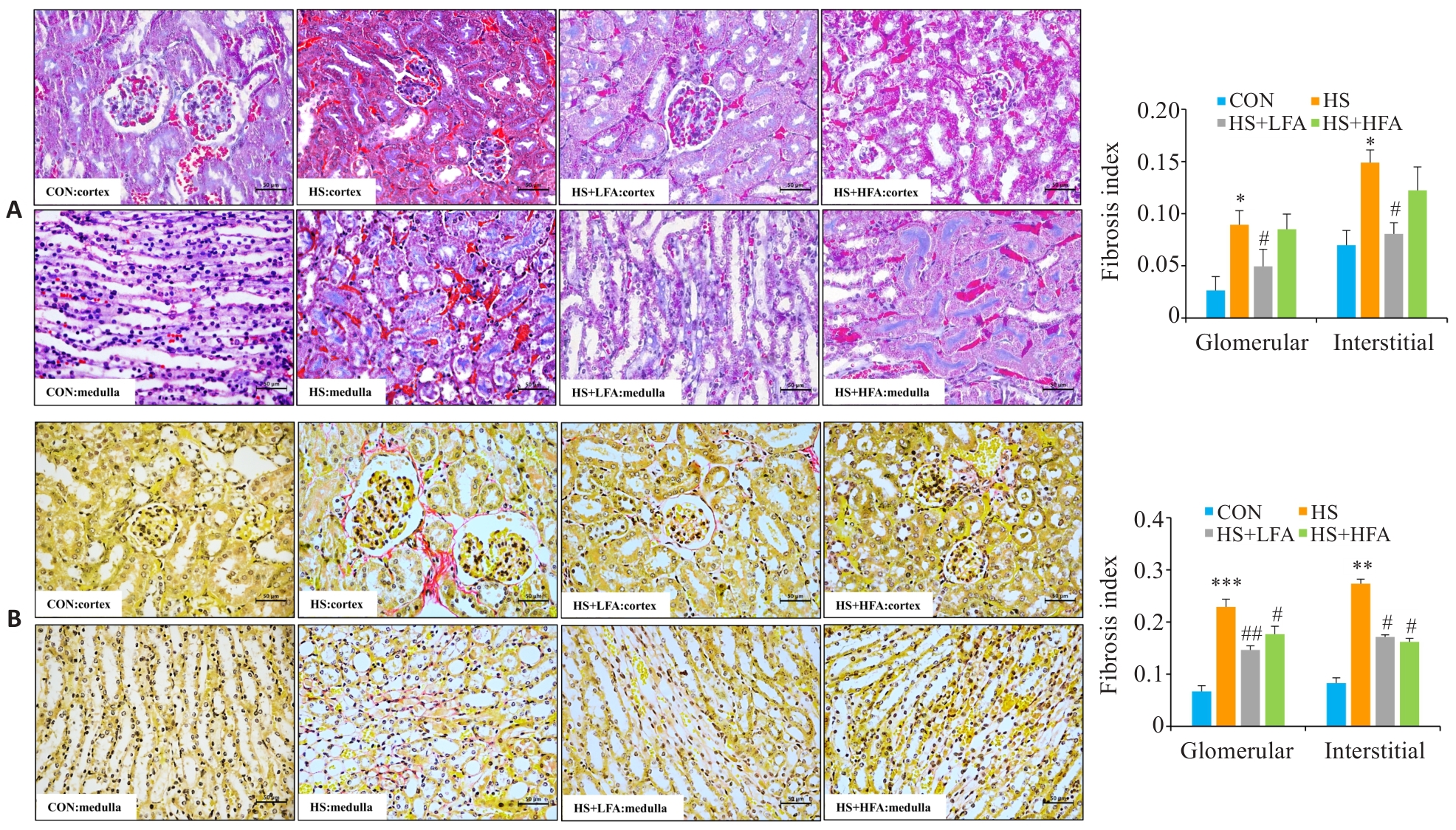
Fig.6 Effect of FA on histopathology of the renal cortex and medulla fibrosis in mice fed a HS diet (Masson/Sirius Red staining, ×400). A: Masson staining(Scale bar=50 μm); B: Sirius Red staining (Scale bar=50 μm). *P<0.05,**P<0.01, ***P<0.001 vs CON; #P<0.05, ##P<0.01 vs HS.
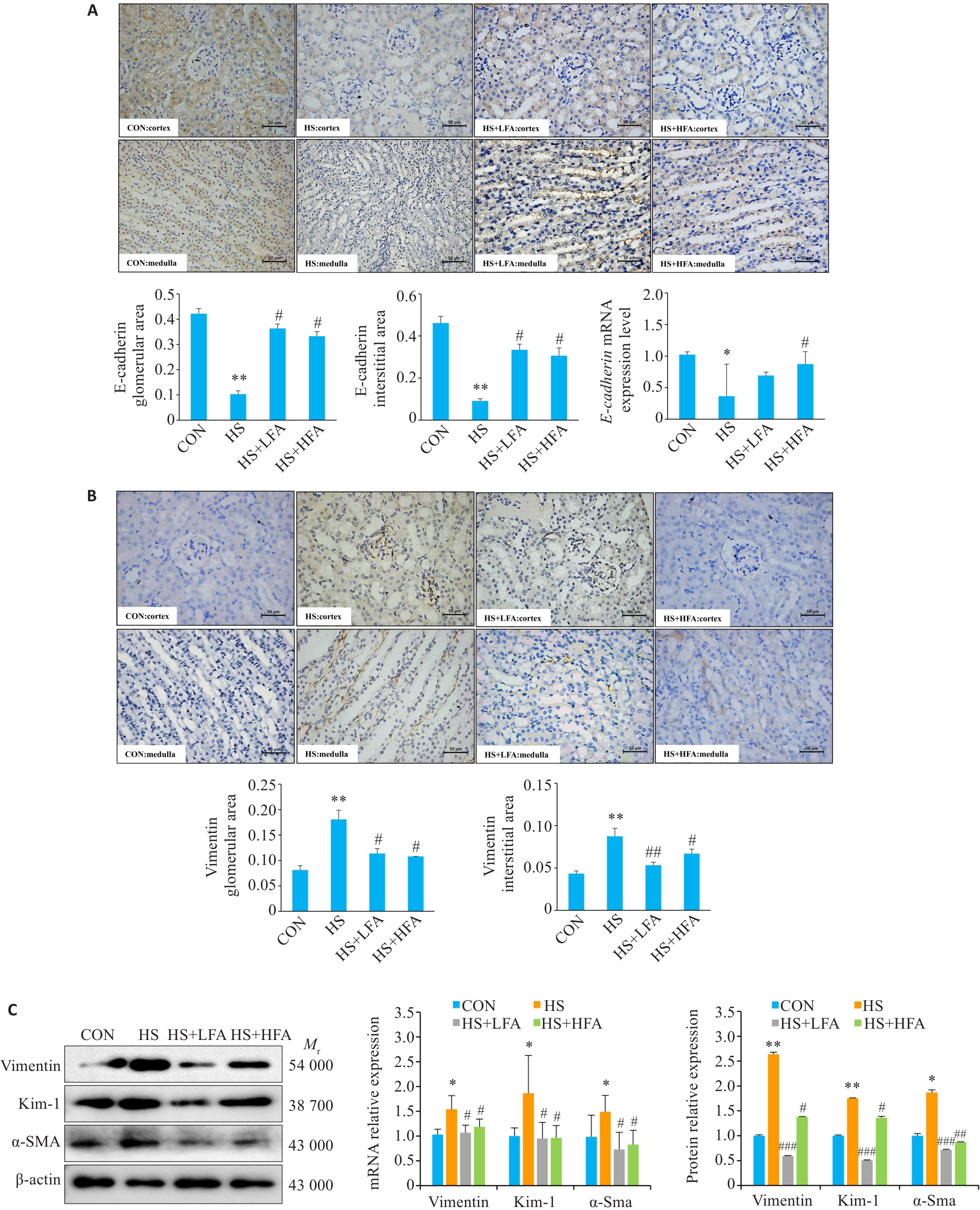
Fig.7 Effect of FA on protein and mRNA levels of E-cadherin, vimentin,Kim-1 and α-SMA in the kidneys of mice fed a HS diet (Immunohistochemical staining, ×400). A: Protein levels of E-cadherin (Scale bar=50 μm). B: Protein levels of Vimentin (Scale bar=50 μm). C: Protein and mRNA levels of vimentin, Kim-1 and α-SMA. *P<0.05, **P<0.01 vs CON; #P<0.05, ##P<0.01, ###P<0.001 vs HS.
| [1] | 王增武. 《中国心血管健康与疾病报告2024》:心血管疾病及其危险因素流行状况[J].中国心血管病研究, 2025, 23(9): 771-93. |
| [2] | GBD 2016 Risk Factors Collaborators. Global, regional, and national comparative risk assessment of 84 behavioural, environmental and occupational, and metabolic risks or clusters of risks, 1990-2016: a systematic analysis for the Global Burden of Disease Study 2016[J]. Lancet, 2017, 390(10100): 1345-422. doi:10.1016/S0140-6736(17)32366-8 |
| [3] | Tan M, He F, Morris JK, et al. Reducing daily salt intake in China by 1 g could prevent almost 9 million cardiovascular events by 2030: a modelling study[J]. BMJ Nutr Prev Health, 2022, 5(2): 164-70. doi:10.1136/bmjnph-2021-000408 |
| [4] | Norlander AE, Madhur MS, Harrison DG. The immunology of hypertension[J]. J Exp Med, 2018, 215(1): 21-33. doi:10.1084/jem.20171773 |
| [5] | An YA, Xiong W, Chen S, et al. Endotrophin neutralization through targeted antibody treatment protects from renal fibrosis in a podocyte ablation model[J]. Mol Metab, 2023, 69: 101680. doi:10.1016/j.molmet.2023.101680 |
| [6] | 张 凯, 杨 丽, 彭 瑞, 等. 1990~2019年中国归因于高盐饮食的慢性肾病疾病负担研究及趋势预测[J].现代预防医学,2023, 50(15):2737-43. doi:10.20043/j.cnki.MPM.202303680 |
| [7] | Shulpekova Y, Nechaev V, Kardasheva S, et al. The concept of folic acid in health and disease[J]. Molecules, 2021, 26(12): 3731. doi:10.3390/molecules26123731 |
| [8] | Akgun E, Boyacioglu M, Kum S. The potential protective role of folic acid against acetaminophen-induced hepatotoxicity and nephrotoxicity in rats[J]. Exp Anim, 2021, 70(1): 54-62. doi:10.1538/expanim.20-0075 |
| [9] | Gallego-Lopez MDC, Ojeda ML, Romero-Herrera I, et al. Folic acid homeostasis and its pathways related to hepatic oxidation in adolescent rats exposed to binge drinking[J]. Antioxidants: Basel, 2022, 11(2): 362. doi:10.3390/antiox11020362 |
| [10] | Zhang H, Zuo Y, Zhao H, et al. Folic acid ameliorates alcohol-induced liver injury via gut-liver axis homeostasis[J]. Front Nutr, 2022, 9: 989311. doi:10.3389/fnut.2022.989311 |
| [11] | Chen S, Yang MY, Wang R, et al. Suppression of high-fat-diet-induced obesity in mice by dietary folic acid supplementation is linked to changes in gut microbiota[J]. Eur J Nutr, 2022, 61(4): 2015-31. doi:10.1007/s00394-021-02769-9 |
| [12] | Jiang L, Gai X, Ni Y, et al. Folic acid protects against tuberculosis-drug-induced liver injury in rats and its potential mechanism by metabolomics[J]. J Nutr Biochem, 2023, 112: 109214. doi:10.1016/j.jnutbio.2022.109214 |
| [13] | Habib SS, Al-Khlaiwi T, Almushawah A, et al. Homocysteine as a predictor and prognostic marker of atherosclerotic cardiovascular disease: a systematic review and meta-analysis[J]. Eur Rev Med Pharmacol Sci, 2023, 27(18): 8598-608. doi:10.26355/eurrev_202309_33784 |
| [14] | 张 政.乳果糖对小鼠高盐饮食引起高血压的干预及机理研究[D].华南农业大学, 2019. |
| [15] | 邱晓峰.补充叶酸预防高盐地区脑血栓复发的临床研究[J].中国医药导报, 2011, 8(4): 144-5. doi:10.3969/j.issn.1673-7210.2011.04.076 |
| [16] | 黄 娟, 商黔惠, 陈春艳. 短期高盐喂食对C57BL/6J小鼠肾小管上皮细胞间充质转化和肾脏纤维化的影响[J]. 中华高血压杂志, 2020, 28(8): 757-66. |
| [17] | 高 宁.高同型半胱氨酸血症对高血压大鼠肾脏的影响及不同剂量叶酸干预的研究[D]. 山东大学, 2021. |
| [18] | 吴 虹, 张正铎, 唐延金, 等. 5-甲基四氢叶酸对大鼠动脉粥样硬化的潜在干预作用[J]. 山东大学学报(医学版), 2022, 60(8): 6-13. |
| [19] | 刘俊阳, 李高恩, 李贞淑, 等. 膳食混合谷物改善高糖饮食诱导的C57BL/6J小鼠肝脏脂肪代谢紊乱的效果及机制初探[J]. 现代食品科技, 2024, 40(11): 48-58. doi:10.13982/j.mfst.1673-9078.2024.11.1249 |
| [20] | 董一飞, 董 徽, 许建忠, 等. 《中国高血压防治指南(2024年修订版)》更新要点解读[J]. 中华高血压杂志, 2025, 33(1): 14-7. |
| [21] | Leiba A, Fishman B, Twig G, et al. Association of adolescent hypertension with future end-stage renal disease[J]. JAMA Intern Med, 2019, 179(4): 517-23. doi:10.1001/jamainternmed.2018.7632 |
| [22] | 邢 隆, 陈文远. 依那普利叶酸片对H型高血压大鼠心肌相关因子表达的干预研究[J]. 中国临床药理学杂志, 2018, 34(14): 1626-9. doi:10.13699/j.cnki.1001-6821.2018.14.012 |
| [23] | Jiang Y, Wang HY, Zheng S, et al. Cardioprotective effect of valsartan in mice with short-term high-salt diet by regulating cardiac aquaporin 1 and angiogenic factor expression[J]. Cardiovasc Pathol, 2015, 24(4): 224-9. doi:10.1016/j.carpath.2014.12.003 |
| [24] | 康 瀚, 王 羽, 钟晓红, 等. 盐摄入量对腹膜透析大鼠残余肾功能的影响[J]. 南方医科大学学报, 2021, 41(2): 264-71. doi:10.12122/j.issn.1673-4254.2021.02.15 |
| [25] | Gao L, Yuan P, Zhang Q, et al. Taxifolin improves disorders of glucose metabolism and water-salt metabolism in kidney via PI3K/AKT signaling pathway in metabolic syndrome rats[J]. Life Sci, 2020, 263: 118713. doi:10.1016/j.lfs.2020.118713 |
| [26] | Vaidya VS, Ozer JS, Dieterle F, et al. Kidney injury molecule-1 outperforms traditional biomarkers of kidney injury in preclinical biomarker qualification studies[J]. Nat Biotechnol, 2010, 28(5): 478-85. doi:10.1038/nbt.1623 |
| [27] | 成钰莹, 谭舒丹, 陈燕兰, 等. 高盐摄入对C57BL/6J小鼠肾脏损伤和纤维化的影响[J]. 食品工业科技, 2023, 44(5): 397-402. doi:10.13386/j.issn1002-0306.2022070254 |
| [28] | Du HX, Xiao GX, Xue ZF, et al. QiShenYiQi ameliorates salt-induced hypertensive nephropathy by balancing ADRA1D and SIK1 expression in Dahl salt-sensitive rats[J]. Biomed Pharmacother, 2021, 141: 111941. doi:10.1016/j.biopha.2021.111941 |
| [29] | Liu Y, Dai XY, Yang SH, et al. High salt aggravates renal inflammation via promoting pro-inflammatory macrophage in 5/6-nephrectomized rat[J]. Life Sci, 2021, 274: 119109. doi:10.1016/j.lfs.2021.119109 |
| [30] | Rimessi A, Previati M, Nigro F, et al. Mitochondrial reactive oxygen species and inflammation: Molecular mechanisms, diseases and promising therapies[J]. Int J Biochem Cell Biol, 2016, 81: 281-93. doi:10.1016/j.biocel.2016.06.015 |
| [31] | 陆 静, 白志勋, 匡晓燕, 等. 高盐刺激可诱导巨噬细胞极化从而促进肾脏成纤维细胞的增殖及表型转化[J]. 南方医科大学学报, 2020, 40(10): 1472-9. doi:10.12122/j.issn.1673-4254.2020.10.13 |
| [32] | Toba H, Ikemoto MJ, Kobara M, et al. Secreted protein acidic and rich in cysteine (SPARC) and a disintegrin and metalloproteinase with thrombospondin type 1 motif (ADAMTS1) increments by the renin-angiotensin system induce renal fibrosis in deoxyco-rticosterone acetate-salt hypertensive rats[J]. Eur J Pharmacol, 2022, 914: 174681. doi:10.1016/j.ejphar.2021.174681 |
| [33] | Bukosza E, Kaucsár T, Godó M, et al. Glomerular collagen deposition and lipocalin-2 expression are early signs of renal injury in prediabetic obese rats[J]. Int J Mol Sci, 2019, 20(17): 4266. doi:10.3390/ijms20174266 |
| [34] | 王 臻, 王 敏, 邓琪琪, 等. 保肾方调控ERK/p38MAPK信号通路减轻UUO小鼠肾脏纤维化的作用及机制[J]. 中国实验方剂学杂志,2023, 29(21): 69-78. |
| [35] | Sun YBY, Qu XL, Caruana G, et al. The origin of renal fibroblasts/myofibroblasts and the signals that trigger fibrosis[J]. Differentiation, 2016, 92(3): 102-7. doi:10.1016/j.diff.2016.05.008 |
| [36] | 郑敏麟, 范文江, 王亚楠, 等. 加味补阳还五汤对术后腹腔粘连TGF-β1/Smad3通路和腹膜间皮细胞上皮-间充质转化的影响[J]. 中华中医药学刊, 2024, 42(5): 20-27+265-271. |
| [37] | Bailey SW, Ayling JE. The pharmacokinetic advantage of 5-methyltetrahydrofolate for minimization of the risk for birth defects[J]. Sci Rep, 2018, 8(1): 4096. doi:10.1038/s41598-018-22191-2 |
| Viewed | ||||||
|
Full text |
|
|||||
|
Abstract |
|
|||||