Journal of Southern Medical University ›› 2025, Vol. 45 ›› Issue (11): 2365-2374.doi: 10.12122/j.issn.1673-4254.2025.11.09

Previous Articles    

LncRNA Meg3 expression level is negatively correlated with liver fibrosis severity in patients with Wilson disease

Daiping HUA1(), Qiaoyu XUAN1, Lanting SUN1, Qingsheng YU2, Qin WANG3, Tao WANG4, Qiyan MA4, Wenming YANG1,5, Han WANG1,5()   

  1. 1.Department of Neurology, First Affiliated Hospital of Anhui University of Chinese Medicine, Hefei 230031, China
    2.Department of General Surgery, First Affiliated Hospital of Anhui University of Chinese Medicine, Hefei 230031, China
    3.Department of Ultrasound, First Affiliated Hospital of Anhui University of Chinese Medicine, Hefei 230031, China
    4.First Clinical Medical College of Anhui University of Chinese Medicine, Hefei 230031, China
    5.Key Laboratory of Xin'an Medicine, Ministry of Education, Anhui University of Chinese Medicine, Hefei 230038, China
  • Received:2025-05-01 Online:2025-11-20 Published:2025-11-28
  • Contact: Han WANG E-mail:15655171331@163.com;neuwhah@126.com
  • Supported by:
    Regional Innovation and Development Joint Fund of National Natural Science Foundation of China(U22A20366)

Abstract:

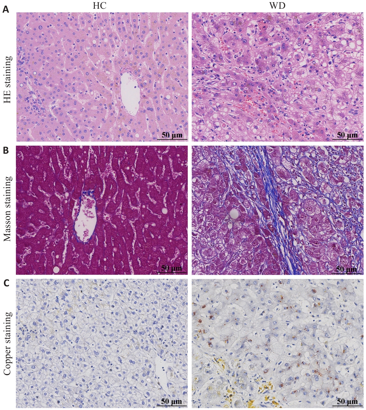
Objective To investigate the expression of the long non-coding RNA maternally expressed gene 3 (LncRNA Meg3) in patients with the Wilson disease (WD) and its correlation with the severity of liver fibrosis and autophagy-related markers. Methods A total of 100 WD patients and 50 healthy individuals were enrolled from the First Affiliated Hospital of Anhui University of Chinese Medicine. Serum biomarkers, including platelet count, hyaluronic acid (HA), laminin (LN), type III procollagen N-terminal peptide (PIIINP), type IV collagen (C‑IV), alanine aminotransferase (ALT), and aspartate aminotransferase (AST), were measured, and the non-invasive indices APRI and FIB-4 were calculated. Peripheral blood levels of LncRNA Meg3, Beclin-1 and LC3B were detected using RT-qPCR, and liver stiffness (LSM) and shear wave velocity (SWV) were evaluated using two-dimensional shear wave elastography (2D-SWE). The liver tissues from 10 WD patients and 10 patients with hepatic hemangioma were examined using histochemical staining, transmission electron microscopy, and RT-qPCR. Results The expression level of LncRNA Meg3 was significantly lower, while the levels of AST, ALT, HA, LN, PIIINP, C‑IV, APRI, FIB-4, LSM and SWV were significantly higher in WD patients than in the healthy individuals (all P<0.01). LncRNA Meg3 was negatively correlated with LSM, SWV, APRI, FIB-4, Beclin-1 and LC3B (P<0.05). ROC analysis demonstrated that LncRNA Meg3 effectively discriminated >F4 stage fibrosis (AUC=0.902) with a sensitivity of 92.9% and a specificity of 83.7% at the optimal cut-off value, outperforming APRI (AUC=0.746) and FIB-4 (AUC=0.661). The liver tissues from WD patients exhibited characteristic histopathological changes and lowered expression of LncRNA Meg3, which was negatively correlated with Beclin-1 and LC3B expressions (P<0.05). Liver fibrosis staging (7 S4 cases and 3 S3 cases) was significantly associated with LSM and SWV levels (P<0.05). Conclusion The expression level of LncRNA Meg3 is significantly decreased in WD patients, which is negatively correlated with the severity of liver fibrosis and closely related to the level of autophagy.

Key words: Wilson disease, LncRNA Meg3, liver fibrosis, autophagy