南方医科大学学报 ›› 2025, Vol. 45 ›› Issue (11): 2385-2393.doi: 10.12122/j.issn.1673-4254.2025.11.11
宋博文1(
), 周仁杰1, 徐盈2, 施金冉2, 张志郅2, 李静2, 耿志军2, 宋雪2, 王炼1,2, 王月月2, 左芦根1,2(
)
收稿日期:2025-04-22
出版日期:2025-11-20
发布日期:2025-11-28
通讯作者:
左芦根
E-mail:songbowen@stu.bbmu.edu.cn;zuolugen@126.com
作者简介:宋博文,在读硕士研究生,E-mail: songbowen@stu.bbmu.edu.cn
基金资助:
Bowen SONG1(
), Renjie ZHOU1, Ying XU2, Jinran SHI2, Zhizhi ZHANG2, Jing LI2, Zhijun GENG2, Xue SONG2, Lian WANG1,2, Yueyue WANG2, Lugen ZUO1,2(
)
Received:2025-04-22
Online:2025-11-20
Published:2025-11-28
Contact:
Lugen ZUO
E-mail:songbowen@stu.bbmu.edu.cn;zuolugen@126.com
Supported by:摘要:
目的 探究跨膜和卷曲螺旋结构域1(TMCO1)在胃癌组织中的表达,明确其对胃癌患者预后的影响,并分析其机制。 方法 基于癌症公共数据库和我院行胃癌根治术的患者临床资料,分析TMCO1在胃癌中的表达情况和对胃癌进展及其预后的影响。利用KEGG和GO分析其可能的生物学功能和作用机制。采用慢病毒载体构建TMCO1高表达和沉默的胃癌细胞株(HGC-27),并以空载处理的胃癌细胞作为对照,体外实验观察其对胃癌细胞凋亡、增殖、侵袭和迁移能力的影响。 结果 TMCO1在胃癌组织中表达升高(P<0.05),高表达TMCO1与胃癌恶性进展参数呈正相关(P<0.001),且TMCO1高表达组的5年生存率低于低表达组(P<0.05)。富集分析结果显示,TMCO1可能通过Wnt信号影响胃癌细胞凋亡。CCK-8结果显示,上调胃癌细胞系TMCO1的表达促进肿瘤细胞的增殖(P<0.05),下调反之(P<0.05);流式细胞术结果显示,TMCO1高表达组的胃癌细胞凋亡率低于TMCO1沉默组(P<0.05);划痕和Transwell实验结果显示,上调TMCO1的表达增加胃癌细胞的迁移(P<0.05)和侵袭能力(P<0.05)。免疫印迹结果显示,上调TMCO1高表达增加β-catenin的水平(P<0.05),下调反之(P<0.05)。 结论 TMCO1在胃癌组织中表达升高,促进胃癌患者的恶性进展并影响远期预后,其可能和激活Wnt/β-catenin信号抑制胃癌细胞凋亡有关。
宋博文, 周仁杰, 徐盈, 施金冉, 张志郅, 李静, 耿志军, 宋雪, 王炼, 王月月, 左芦根. TMCO1在胃癌中高表达与患者不良预后相关并通过抑制调亡促进肿瘤恶性进展[J]. 南方医科大学学报, 2025, 45(11): 2385-2393.
Bowen SONG, Renjie ZHOU, Ying XU, Jinran SHI, Zhizhi ZHANG, Jing LI, Zhijun GENG, Xue SONG, Lian WANG, Yueyue WANG, Lugen ZUO. Elevated TMCO1 expression in gastric cancer is associated poor prognosis and promotes malignant phenotypes of tumor cells by inhibiting apoptosis[J]. Journal of Southern Medical University, 2025, 45(11): 2385-2393.
图1 TMCO1在胃癌组织中表达升高且和Ki67表达量正相关
Fig.1 TMCO1 expression is elevated in gastric cancer tissues in positive correlation with the expression of Ki67. A: Expression of TMCO1 in different human tumors (*P<0.05, **P<0.01, ***P<0.001 vs Normal). B: Expression levels of TMCO1 in gastric cancer (*P<0.05). C, D: Immunohistochemistry for detecting TMCO1 expression in gastric cancer tissues and adjacent tissues and the relative IOD values (*P<0.05 vs adjacent tissue). E, F: Immunohistochemistry for detecting Ki67 expression in gastric cancer and adjacent tissues and the relative IOD value (*P<0.05 vs adjacent tissue). G, H: Correlation analysis of TMCO1 and Ki67 expressions.
图2 TMCO1的表达量和胃癌恶性进展参数的相关性
Fig.2 Correlation between TMCO1 expression level and progression of gastric cancer based on tumor grade (A) and stage (B). ***P<0.001 vs Normal.
| Factor | n | TMCO1 expression [n, (%)] | χ² | P | |
|---|---|---|---|---|---|
| Low (n=52) | High (n=52) | ||||
| Gender | |||||
| Male | 72 | 40 (55.6%) | 32 (44.4%) | 2.889 | 0.089 |
| Female | 32 | 12 (37.5%) | 20 (62.5%) | ||
| Age (year) | |||||
| ˂60 | 49 | 28 (57.1%) | 21 (42.9%) | 1.891 | 0.169 |
| ≥60 | 55 | 24 (43.6%) | 31 (56.4%) | ||
| CEA (μg/L) | |||||
| ˂5 | 40 | 28 (70.0%) | 12 (30.0%) | 10.400 | 0.001 |
| ≥5 | 64 | 24 (37.5%) | 40 (62.5%) | ||
| CA19-9 (kU/L) | |||||
| ˂37 | 38 | 29 (76.3%) | 9 (23.7%) | 16.587 | ˂0.001 |
| ≥37 | 66 | 23 (34.8%) | 43 (65.2%) | ||
| Tumor size (cm) | |||||
| ˂5 | 46 | 26 (56.5%) | 20 (43.5%) | 1.403 | 0.236 |
| ≥5 | 58 | 26 (44.8%) | 32 (55.2%) | ||
| Cancer cell type | |||||
| Adenocarcinoma | 70 | 36 (51.4%) | 34 (48.6%) | 0.175 | 0.676 |
| Other | 34 | 16 (47.1%) | 18 (52.9%) | ||
| T stage | |||||
| 1-2 | 37 | 24 (64.9%) | 13 (35.1%) | 5.076 | 0.024 |
| 3-4 | 67 | 28 (41.8%) | 39 (58.2%) | ||
| N stage | |||||
| 0-1 | 42 | 27 (64.3%) | 15 (35.7%) | 5.751 | 0.016 |
| 2-3 | 62 | 25 (40.3%) | 37 (59.7%) | ||
表1 TMCO1的表达量与胃癌恶性进展参数的相关性分析
Tab.1 Correlation between TMCO1 expression levels and parameters of gastric cancer progression
| Factor | n | TMCO1 expression [n, (%)] | χ² | P | |
|---|---|---|---|---|---|
| Low (n=52) | High (n=52) | ||||
| Gender | |||||
| Male | 72 | 40 (55.6%) | 32 (44.4%) | 2.889 | 0.089 |
| Female | 32 | 12 (37.5%) | 20 (62.5%) | ||
| Age (year) | |||||
| ˂60 | 49 | 28 (57.1%) | 21 (42.9%) | 1.891 | 0.169 |
| ≥60 | 55 | 24 (43.6%) | 31 (56.4%) | ||
| CEA (μg/L) | |||||
| ˂5 | 40 | 28 (70.0%) | 12 (30.0%) | 10.400 | 0.001 |
| ≥5 | 64 | 24 (37.5%) | 40 (62.5%) | ||
| CA19-9 (kU/L) | |||||
| ˂37 | 38 | 29 (76.3%) | 9 (23.7%) | 16.587 | ˂0.001 |
| ≥37 | 66 | 23 (34.8%) | 43 (65.2%) | ||
| Tumor size (cm) | |||||
| ˂5 | 46 | 26 (56.5%) | 20 (43.5%) | 1.403 | 0.236 |
| ≥5 | 58 | 26 (44.8%) | 32 (55.2%) | ||
| Cancer cell type | |||||
| Adenocarcinoma | 70 | 36 (51.4%) | 34 (48.6%) | 0.175 | 0.676 |
| Other | 34 | 16 (47.1%) | 18 (52.9%) | ||
| T stage | |||||
| 1-2 | 37 | 24 (64.9%) | 13 (35.1%) | 5.076 | 0.024 |
| 3-4 | 67 | 28 (41.8%) | 39 (58.2%) | ||
| N stage | |||||
| 0-1 | 42 | 27 (64.3%) | 15 (35.7%) | 5.751 | 0.016 |
| 2-3 | 62 | 25 (40.3%) | 37 (59.7%) | ||
图3 TMCO1高表达降低胃癌患者术后5年生存率
Fig.3 High expression of TMCO1 is associated with decreased postoperative 5-year survival rate of gastric cancer patients. A: Kaplan-Meier (KM) online platform analysis. B: KM survival curves for analyzing clinical data of patients in our hospital. C: Predictive value of TMCO1 for 5-year survival after radical gastrectomy.
| Factor | Univariate analysis | Multivariate analysis | ||||
|---|---|---|---|---|---|---|
| Log-rank χ2 | P | HR | 95% CI | P | ||
| Gender (male vs female) | 0.041 | 0.840 | ||||
| Age (˂60 years vs ≥60 years) | 3.189 | 0.074 | ||||
| TMCO1 expression (high vs low) | 44.369 | ˂0.001 | 3.449 | 1.966-6.053 | ˂0.001 | |
| CEA (˂5 μg/L vs ≥5 μg/L) | 29.662 | ˂0.001 | 2.513 | 1.394-4.530 | 0.002 | |
| CA19-9 (˂37 kU/L vs ≥37 kU/L) | 33.690 | ˂0.001 | 2.934 | 1.593-5.405 | ˂0.001 | |
| Tumor size (˂5 cm vs ≥5 cm) | 3.084 | 0.079 | ||||
| Cancer cell type (adenocarcinoma vs other) | 1.336 | 0.248 | ||||
| T stage (T1-T2 vs T3-T4) | 20.352 | ˂0.001 | 2.217 | 1.265-3.887 | 0.005 | |
| N stage (N0-N1 vs N2-N3) | 26.017 | ˂0.001 | 2.202 | 1.218-3.981 | 0.009 | |
表2 单因素和多因素Cox回归分析胃癌患者术后5年生存率的影响因素
Tab.2 Univariate and multivariate Cox regression analysis of prognostic factors influencing 5-year survival of gastric cancer patients
| Factor | Univariate analysis | Multivariate analysis | ||||
|---|---|---|---|---|---|---|
| Log-rank χ2 | P | HR | 95% CI | P | ||
| Gender (male vs female) | 0.041 | 0.840 | ||||
| Age (˂60 years vs ≥60 years) | 3.189 | 0.074 | ||||
| TMCO1 expression (high vs low) | 44.369 | ˂0.001 | 3.449 | 1.966-6.053 | ˂0.001 | |
| CEA (˂5 μg/L vs ≥5 μg/L) | 29.662 | ˂0.001 | 2.513 | 1.394-4.530 | 0.002 | |
| CA19-9 (˂37 kU/L vs ≥37 kU/L) | 33.690 | ˂0.001 | 2.934 | 1.593-5.405 | ˂0.001 | |
| Tumor size (˂5 cm vs ≥5 cm) | 3.084 | 0.079 | ||||
| Cancer cell type (adenocarcinoma vs other) | 1.336 | 0.248 | ||||
| T stage (T1-T2 vs T3-T4) | 20.352 | ˂0.001 | 2.217 | 1.265-3.887 | 0.005 | |
| N stage (N0-N1 vs N2-N3) | 26.017 | ˂0.001 | 2.202 | 1.218-3.981 | 0.009 | |
图4 TMCO1的KEGG和GO富集分析
Fig.4 KEGG and GO enrichment analysis of TMCO1. A: KEGG enrichment analysis shows that TMCO1 is related to the Wnt signaling pathway. B: GO enrichment analysis shows that TMCO1 is associated with cell apoptosis process.
图5 高表达TMCO1抑制胃癌细胞凋亡并促进细胞增殖
Fig.5 High expression of TMCO1 inhibits apoptosis and promotes proliferation of gastric cancer cells. A, D: Validation of TMCO1 overexpression and TMCO1 silencing in HGC-27 cells. B: CCK8 assay for assessing HGC-27 cell proliferation. C, E: TMCO1 regulates the expression of proliferation-associated proteins Ki67 and PCNA in HGC-27 cells. F, G: Flow cytometry for analyzing apoptosis of HGC-27 cells. *P<0.05, ***P˂0.001, ****P˂0.0001 vs Vector group.
图6 TMCO1促进胃癌细胞的迁移和侵袭能力
Fig.6 TMCO1 overexpression promotes migration and invasion of gastric cancer cells. A, C, D: Cell migration and invasion of HGC-27 cells. B, E: Wound-healing assay. *P<0.05 vs Vector group.
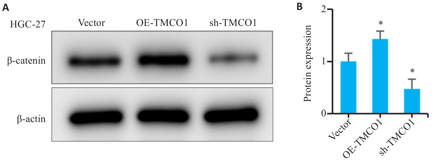
图7 TMCO1调控胃癌细胞中的Wnt/β-catenin信号通路
Fig.7 TMCO1 regulates the Wnt signaling pathway in gastric cancer cells. A: Detection of β‑catenin protein expression in HGC-27 cells with TMCO1 overexpression or silencing by Western blotting. B: Analysis of the IOD values of β‑catenin in HGC-27 cells. *P<0.05 vs Vector group.
| [1] | Joshi SS, Badgwell BD. Current treatment and recent progress in gastric cancer[J]. CA Cancer J Clin, 2021, 71(3): 264-79. doi:10.3322/caac.21657 |
| [2] | Bray F, Laversanne M, Sung H, et al. Global cancer statistics 2022: GLOBOCAN estimates of incidence and mortality worldwide for 36 cancers in 185 countries[J]. CA Cancer J Clin, 2024, 74(3): 229-63. doi:10.3322/caac.21834 |
| [3] | Guan WL, He Y, Xu RH. Gastric cancer treatment: recent progress and future perspectives[J]. J Hematol Oncol, 2023, 16(1): 57. doi:10.1186/s13045-023-01451-3 |
| [4] | Wang Y, Zhang L, Yang Y, et al. Progress of gastric cancer surgery in the era of precision medicine[J]. Int J Biol Sci, 2021, 17(4): 1041-9. doi:10.7150/ijbs.56735 |
| [5] | Jiang YM, Zhou KN, Sun ZP, et al. Non-invasive tumor microenvironment evaluation and treatment response prediction in gastric cancer using deep learning radiomics[J]. Cell Rep Med, 2023, 4(8): 101146. doi:10.1016/j.xcrm.2023.101146 |
| [6] | Zeng HM, Zheng RS, Sun KX, et al. Cancer survival statistics in China 2019-2021: a multicenter, population-based study[J]. J Natl Cancer Cent, 2024, 4(3): 203-13. doi:10.1016/j.jncc.2024.06.005 |
| [7] | Evan GI, Vousden KH. Proliferation, cell cycle and apoptosis in cancer[J]. Nature, 2001, 411(6835): 342-8. doi:10.1038/35077213 |
| [8] | Li Y, Li LX, Liu H, et al. CPNE1 silencing inhibits cell proliferation and accelerates apoptosis in human gastric cancer[J]. Eur J Pharm Sci, 2022, 177: 106278. doi:10.1016/j.ejps.2022.106278 |
| [9] | Wang JH, Hou Q, Qu J, et al. Polyhedral magnetic nanoparticles induce apoptosis in gastric cancer stem cells and suppressing tumor growth through magnetic force generation[J]. J Control Release, 2024, 373: 370-84. doi:10.1016/j.jconrel.2024.07.041 |
| [10] | Liu J, Li SM, Tang YJ, et al. Jaceosidin induces apoptosis and inhibits migration in AGS gastric cancer cells by regulating ROS-mediated signaling pathways[J]. Redox Rep, 2024, 29(1): 2313366. doi:10.1080/13510002.2024.2313366 |
| [11] | Dong J, Kang S, Cao F, et al. The relationship between TMCO1 and CALR in the pathological characteristics of prostate cancer and its effect on the metastasis of prostate cancer cells[J]. Open Life Sci, 2024, 19(1): 20220972. doi:10.1515/biol-2022-0972 |
| [12] | Sun G, Gong S, Lan S, et al. TMCO1 regulates cell proliferation, metastasis and EMT signaling through CALR, promoting ovarian cancer progression and cisplatin resistance[J]. Cell Mol Biol: Noisy-le-grand, 2024, 70(1): 99-109. doi:10.14715/cmb/2024.70.1.14 |
| [13] | Gao L, Ye Z, Liu JH, et al. TMCO1 expression promotes cell proliferation and induces epithelial-mesenchymal transformation in human gliomas[J]. Med Oncol, 2022, 39(5): 90. doi:10.1007/s12032-022-01687-y |
| [14] | Yang KY, Zhao S, Feng H, et al. Ca2+ homeostasis maintained by TMCO1 underlies corpus callosum development via ERK signaling[J]. Cell Death Dis, 2022, 13(8): 674. doi:10.1038/s41419-022-05131-x |
| [15] | Bong AHL, Robitaille M, Lin S, et al. TMCO1 is upregulated in breast cancer and regulates the response to pro-apoptotic agents in breast cancer cells[J]. Cell Death Discov, 2024, 10(1): 421. doi:10.1038/s41420-024-02183-0 |
| [16] | Zhang Y, Wang Y, Zhao M, et al. VEGF mediates tumor growth and metastasis by affecting the expression of E-cadherin and N-cadherin promoting epithelial to mesenchymal transition in gastric cancer[J]. Clin Med Insights Oncol, 2023, 17: 11795549231175715. doi:10.1177/11795549231175715 |
| [17] | Ding LL, Zhang M, Zhang T, et al. MFGE8 promotes gastric cancer progression by activating the IL-6/JAK/STAT3 signaling[J]. Cell Signal, 2025, 125: 111486. doi:10.1016/j.cellsig.2024.111486 |
| [18] | Pang Y, Liu Y, Chen S, et al. Biological role of SPAG5 in the malignant proliferation of gastric cancer cells[J]. Nan Fang Yi Ke da Xue Xue Bao, 2024, 44(8): 1497-507. |
| [19] | Jayaraman S, Pazhani J, PriyaVeeraraghavan V, et al. PCNA and Ki67: Prognostic proliferation markers for oral cancer[J]. Oral Oncol, 2022, 130: 105943. doi:10.1016/j.oraloncology.2022.105943 |
| [20] | Gao L, Xu Z, Huang Z, et al. CPI-613 rewires lipid metabolism to enhance pancreatic cancer apoptosis via the AMPK-ACC signaling[J]. J Exp Clin Cancer Res, 2020, 39(1): 73. doi:10.1186/s13046-020-01579-x |
| [21] | Cong X, Chen T, Li S, et al. Dihydroartemisinin enhances sensitivity of nasopharyngeal carcinoma HNE1/DDP cells to cisplatin-induced apoptosis by promoting ROS production[J]. Nan Fang Yi Ke da Xue Xue Bao, 2024, 44(8): 1553-60. |
| [22] | Zhu Q, Huang B, Wei L, et al. Overexpression of LncRNA MEG3 promotes ferroptosis and enhances chemotherapy sensitivity of hepatocellular carcinoma cells to cisplatin[J]. Nan Fang Yi Ke da Xue Xue Bao, 2024, 44(1): 17-24. |
| [23] | Justus CR, Marie MA, Sanderlin EJ, et al. Transwell in vitro cell migration and invasion assays[J]. Methods Mol Biol, 2023, 2644: 349-59. doi:10.1007/978-1-0716-3052-5_22 |
| [24] | Zuo L, Lin J, Ge S, et al. Preoperative visceral fat index predicts the survival outcomes of patients with gastric cancer after surgery[J]. Oncol Lett, 2024, 27(3): 99. doi:10.3892/ol.2024.14233 |
| [25] | Zheng S, Zhao D, Hou G, et al. iASPP suppresses Gp78-mediated TMCO1 degradation to maintain Ca2+ homeostasis and control tumor growth and drug resistance[J]. Proc Natl Acad Sci USA, 2022, 119(6): e2111380119. doi:10.1073/pnas.2111380119 |
| [26] | Li J, Liu C, Li Y, et al. TMCO1-mediated Ca2+ leak underlies osteoblast functions via CaMKII signaling[J]. Nat Commun, 2019, 10(1): 1589. doi:10.1038/s41467-019-09653-5 |
| [27] | Zheng SL, Wang XW, Zhao D, et al. Calcium homeostasis and cancer: insights from endoplasmic reticulum-centered organelle communications[J]. Trends Cell Biol, 2023, 33(4): 312-23. doi:10.1016/j.tcb.2022.07.004 |
| [28] | Marchi S, Giorgi C, Galluzzi L, et al. Ca2+ fluxes and cancer[J]. Mol Cell, 2020, 78(6): 1055-69. doi:10.1016/j.molcel.2020.04.017 |
| [29] | Moyer A, Tanaka K, Cheng EH. Apoptosis in cancer biology and therapy[J]. Annu Rev Pathol, 2025, 20(1): 303-28. doi:10.1146/annurev-pathmechdis-051222-115023 |
| [30] | Di Y, Zhang X, Wen X, et al. MAPK signaling-mediated RFNG phosphorylation and nuclear translocation restrain oxaliplatin-induced apoptosis and ferroptosis[J]. Adv Sci: Weinh, 2024, 11(38): e2402795. doi:10.1002/advs.202402795 |
| [31] | Luo Z, Yu G, Lee HW, et al. The Nedd8-activating enzyme inhibitor MLN4924 induces autophagy and apoptosis to suppress liver cancer cell growth[J]. Cancer Res, 2012, 72(13): 3360-71. doi:10.1158/0008-5472.can-12-0388 |
| [32] | Lei ZN, Teng QX, Tian Q, et al. Signaling pathways and therapeutic interventions in gastric cancer[J]. Signal Transduct Target Ther, 2022, 7(1): 358. doi:10.1038/s41392-022-01190-w |
| [33] | Chen X, Lu H, Wang Z, et al. Role of Abelson interactor 2 in progression and prognosis of gastric cancer and its regulatory mechanisms[J]. Nan Fang Yi Ke da Xue Xue Bao, 2024, 44(9): 1653-61. |
| [34] | Zhang W, Zhang N, Yang Z, et al. Overexpression of BZW1 promotes invasion and metastasis of gastric cancer cells by regulating Wnt/β‑catenin signaling and promoting epithelial-mesenchymal transition[J]. Nan Fang Yi Ke da Xue Xue Bao, 2024, 44(2): 354-62. |
| [35] | Majumder S, Crabtree JS, Golde TE, et al. Targeting Notch in oncology: the path forward[J]. Nat Rev Drug Discov, 2021, 20(2): 125-44. doi:10.1038/s41573-020-00091-3 |
| [36] | Guo W, Wang H, Li C. Signal pathways of melanoma and targeted therapy[J]. Signal Transduct Target Ther, 2021, 6(1): 424. doi:10.1038/s41392-021-00827-6 |
| [37] | Zheng T, Sun M, Liu L, et al. GPR116 overexpression correlates with poor prognosis in gastric cancer[J]. Medicine: Baltimore, 2021, 100(48): e28059. doi:10.1097/md.0000000000028059 |
| [38] | Li Y, Zhang M, Zheng X. High expression of NLRC5 is associated with prognosis of gastric cancer[J]. Open Med: Wars, 2018, 13: 443-9. doi:10.1515/med-2018-0066 |
| [1] | 王莹, 李静, 王伊迪, 华明钰, 胡玮彬, 张晓智. 原发性肝癌患者的临床结局与治疗反应预测模型:基于失巢凋亡和免疫基因[J]. 南方医科大学学报, 2025, 45(9): 1967-1979. |
| [2] | 张瑜, 李海涛, 潘玉卿, 曹杰贤, 翟丽, 张曦. MZB1基因在泛癌中的表达及其与免疫浸润及预后的关系[J]. 南方医科大学学报, 2025, 45(9): 2006-2018. |
| [3] | 陈丹丹, 任乾千, 吕梦林, 张宝文, 刘醒然, 张蒙, 王阳, 寇现娟. 天麻钩藤饮通过抑制坏死性凋亡通路改善帕金森病小鼠的运动功能障碍[J]. 南方医科大学学报, 2025, 45(8): 1571-1580. |
| [4] | 王子良, 陈孝华, 杨晶晶, 严晨, 张志郅, 黄炳轶, 赵萌, 刘嵩, 葛思堂, 左芦根, 陈德利. 高表达SURF4通过抑制紧密连接蛋白表达促进胃癌细胞的恶性生物学行为[J]. 南方医科大学学报, 2025, 45(8): 1732-1742. |
| [5] | 常笑语, 张瀚文, 曹红亭, 侯玲, 孟鑫, 陶虹, 罗彦, 李光华. 热应激对大鼠胸主动脉内皮细胞生物钟基因 Bmal1和细胞周期蛋白表达水平的影响[J]. 南方医科大学学报, 2025, 45(7): 1353-1362. |
| [6] | 陈鑫源, 吴成挺, 李瑞迪, 潘雪芹, 张耀丹, 陶俊宇, 林才志. 双术汤通过P53/SLC7A11/GPX4通路诱导胃癌细胞铁死亡[J]. 南方医科大学学报, 2025, 45(7): 1363-1371. |
| [7] | 庞金龙, 赵新丽, 张振, 王豪杰, 周星琦, 杨玉梅, 李姗姗, 常小强, 李锋, 李娴. 皮肤黑色素瘤中MMRN2高表达促进肿瘤细胞的侵袭和迁移并与不良预后相关[J]. 南方医科大学学报, 2025, 45(7): 1479-1489. |
| [8] | 吴璇, 方家敏, 韩玮玮, 陈琳, 孙菁, 金齐力. 高表达PRELID1促进胃癌细胞上皮间质转化并与不良预后相关[J]. 南方医科大学学报, 2025, 45(7): 1535-1542. |
| [9] | 王康, 李海宾, 余靖, 孟源, 张虹丽. ELFN1高表达是结肠癌的预后生物标志物并促进结肠癌细胞的增殖转移[J]. 南方医科大学学报, 2025, 45(7): 1543-1553. |
| [10] | 莫艳秀, 舒洋, 莫钰兰, 刘峻彤, 徐欧欧, 邓华菲, 王岐本. 敲除CDC20可明显抑制宫颈癌细胞的增殖及侵袭转移[J]. 南方医科大学学报, 2025, 45(6): 1200-1211. |
| [11] | 侯鑫睿, 张振东, 曹明远, 杜予心, 王小平. 红景天苷靶向miR-1343-3p-OGDHL/PDHB糖代谢轴抑制胃癌细胞的体内外增殖[J]. 南方医科大学学报, 2025, 45(6): 1226-1239. |
| [12] | 杨毓甲, 杨丽芳, 吴雅玲, 段兆达, 于春泽, 吴春云, 于建云, 杨力. 大麻二酚经PERK-eIF2α-ATF4-CHOP通路减轻多重脑震荡大鼠的神经元内质网应激和凋亡[J]. 南方医科大学学报, 2025, 45(6): 1240-1250. |
| [13] | 陈悦, 肖林雨, 任侣, 宋雪, 李静, 胡建国. 水晶兰苷通过抑制PI3K/AKT信号通路减少神经元凋亡改善脊髓损伤后小鼠的运动功能[J]. 南方医科大学学报, 2025, 45(4): 774-784. |
| [14] | 储菲, 陈孝华, 宋博文, 杨晶晶, 左芦根. 苏荠宁黄酮通过抑制PI3K/AKT信号通路拮抗肠上皮细胞凋亡改善小鼠实验性结肠炎[J]. 南方医科大学学报, 2025, 45(4): 819-828. |
| [15] | 张毅, 沈昱, 万志强, 陶嵩, 柳亚魁, 王栓虎. CDKN3高表达促进胃癌细胞的迁移和侵袭:基于调控p53/NF-κB信号通路和抑制胃癌细胞凋亡[J]. 南方医科大学学报, 2025, 45(4): 853-861. |
| 阅读次数 | ||||||
|
全文 |
|
|||||
|
摘要 |
|
|||||