南方医科大学学报 ›› 2025, Vol. 45 ›› Issue (10): 2231-2239.doi: 10.12122/j.issn.1673-4254.2025.10.19

• • 上一篇    

葛根素通过调控TAK1介导的TLR4/NF-κB信号通路减轻大鼠类风湿关节炎症状

徐买元(), 李妮, 李嘉懿, 张涛, 马俐文, 林涛, 余浩楠, 吴宁, 吴遵秋(), 黄丽()   

  1. 贵州医科大学基础医学院化学与生物化学实验室,贵州 贵阳 561113
  • 收稿日期:2025-04-05 出版日期:2025-10-20 发布日期:2025-10-24
  • 通讯作者: 吴遵秋,黄丽 E-mail:2634892993@qq.com;457581851@qq.com;12155501@qq.com
  • 作者简介:徐买元,在读本科生,E-mail: 2634892993@qq.com
  • 基金资助:
    国家自然科学基金(82260829);2022年省级大学生创新创业计划训练项目(S202210660092)

Puerarin alleviates rheumatoid arthritis in rats by modulating TAK1-mediated TLR4/NF-κB signaling pathway

Maiyuan XU(), Ni LI, Jiayi LI, Tao ZHANG, Liwen MA, Tao LIN, Haonan YU, Ning WU, Zunqiu WU(), Li HUANG()   

  1. Laboratory of Chemistry and Biochemistry, School of Basic Medical Sciences, Guizhou Medical University, Guiyang 561113, China
  • Received:2025-04-05 Online:2025-10-20 Published:2025-10-24
  • Contact: Zunqiu WU, Li HUANG E-mail:2634892993@qq.com;457581851@qq.com;12155501@qq.com
  • Supported by:
    National Natural Science Foundation of China(82260829)

摘要:

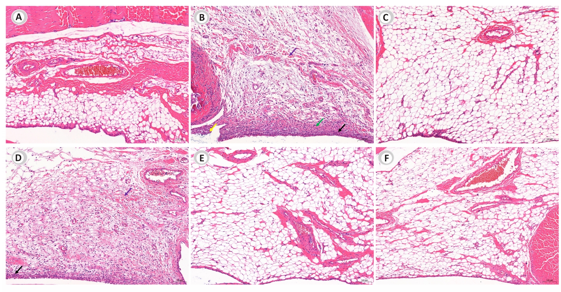
目的 以转化生长因子β激活激酶1(TAK1)为靶标探讨葛根素(Pur)对胶原诱导型关节炎(CIA)大鼠滑膜炎症的作用机制。 方法 将60只健康SD大鼠随机均分为空白组(Nor)、模型组(Mod)、雷公藤多苷片阳性对照组(GTW,10 mg/kg)和葛根素低、中、高剂量组(Pur 10、30、100 mg/kg),10只/组。经皮下注射牛型Ⅱ胶原建立CIA大鼠模型,并通过每日经口灌胃的方式给予治疗,持续3周。采用关节炎指数(AI)评分法,分别于造模前1周,灌胃前1周及灌胃后第1、2、3周观察大鼠后足关节病变情况。计算大鼠肝脏指数,采用HE染色法观察大鼠关节滑膜病理变化,Real-time PCR法检测滑膜组织TAK1、TLR4、NF-κB p65 mRNA的表达水平,Western boltting检测滑膜组织TAK1、p-TAK1、TLR4、NF-κB p65蛋白表达水平。 结果 相较于Mod组,GTW组和Pur高剂量组大鼠肝脏指数下降(P<0.05)。GTW组和Pur低、中、高剂量组足跖肿胀度及关节炎指数评分均小于Mod组(P<0.05)。光镜下观察大鼠关节滑膜病理组织切片,Mod组可见滑膜细胞增生,滑膜水肿,滑膜结缔组织排列疏松、不规则,伴有少量以淋巴细胞、巨噬细胞为主的炎性细胞浸润;而GTW组和Pur低、中、高剂量组中,滑膜炎症均有不同程度的降低,且随Pur剂量增高,治疗效果呈逐渐增强的趋势。与Mod组比较,GTW组和Pur低、中、高剂量组大鼠膝关节滑膜组织中TAK1、TLR4、NF-κB p65 mRNA和蛋白表达量均有不同程度的降低(P<0.05)。 结论 葛根素可抑制CIA大鼠关节炎症反应,其机制可能为下调TAK1的表达,从而抑制TLR4/NF-κB信号转导途径。

关键词: 葛根素, 类风湿关节炎, 滑膜组织, TAK1, Toll样受体4, 核因子κB p65

Abstract:

Objective To explore the therapeutic mechanism of puerarin for alleviating synovitis in rats with collagen-induced arthritis (CIA). Methods In a SD rat model of CIA, we tested the effects of daily gavage of puerarin at low, moderate and high doses (10, 30, and 100 mg/kg, respectively) for 3 weeks, with tripterygium glycosides (GTW, 10 mg/kg) as the positive control, on swelling in the hind limb joints regions evaluated by arthritis index scoring. Mass fraction of the liver of the rats was calculated, and pathologies in joint synovial membrane were observed with HE staining. The expressions of transforming growth factor β‑activated kinase-1 (TAK1), Toll-like receptor 4 (TLR4), and nuclear factor kappa-Bp65 (NF‑κB p65) at the mRNA and protein levels in the synovial tissues were detected using Real-time PCR and Western blotting. Results Compared with those in the model group, the rats in GTW group and high-dose puerarin group showed significantly reduced mass fraction of the liver. Treatment with GTW and puerarin at the 3 doses all significantly alleviated plantar swelling, lowered arthritis index scores, and improved synovitis in CIA rats (P<0.05), and the effects of puerarin showed an obvious dose dependence. Both GTW and puerarin treatments significantly lowered TAK1, TLR4, and NF‑κB p65 mRNA and protein expressions in the synovium of CIA rats. Conclusion Puerarin alleviates synovium damages in CIA rats possibly by suppressing the TLR4/NF‑κB signaling pathway via downregulating TAK1 expression.

Key words: puerarin, rheumatoid arthritis, synovium, TAK1, Toll-like receptor 4, nuclear factor kappa-B p65