2. 佛山市三水区人民医院检验科, 广东 佛山 528100;
3. 佛山市三水区人民医院呼吸内科,广东 佛山 528100;
4. 佛山市妇幼保健院放射科,广东 佛山 528000
2. Department of Respiratory Medicine, Foshan Sanshui District People's Hospital, Guangdong Province, Foshan Sanshui 528100, China;
3. Department of Laboratory Medicine, Foshan Sanshui District People's Hospital, Guangdong Province, Foshan Sanshui 528100, China;
4. Foshan Women and Children's Hospital, Guangdong Province, Foshan 528000, China
2019年12月,一种不明原因肺炎疫情迅速蔓延全国,经实验室病原学检测并分离出一种新型冠状病毒,国际病毒分类委员会将这种病毒命名为严重急性呼吸综合征冠状病毒2 (SARS-CoV-2)。由该病毒感染的肺炎称为新型冠状病毒肺炎(COVID-19),简称新冠肺炎[1],该病已纳入《中华人民共和国传染病防治法》规定的乙类传染病并按甲类传染病管理[2]。COVID-19具有较强的传染性,人群普遍易感[3],我国各地区及境外也相继发现了此类病例,现正值冬春季节,为流感病毒性肺炎高发时期。而COVID-19患者确诊的金标准是SARSCoV-2病毒核酸检测[4],但据目前资料显示病毒核酸检测存在假阴性,且无法一发病就得到检测结果;作为病毒性肺炎的一种,COVID-19的诊断亟需一种快捷敏感的方法;胸部HRCT是早期诊断本病的主要指标之一,而核酸检测相对于CT检查存在滞后性,CT检查比核酸检测更敏感、更早期,有专家呼吁将CT结果列为诊断标准。目前国内大部分学者提出COVID-19的CT表现有磨玻璃改变、“铺路石征”、反晕征、支气管充气征等[5],而笔者在临床实际工作中发现“蒲公英果实征”也常出现于COVID-19的患者胸部CT中。本研究将分析COVID-19患者胸部CT的影像征象,并与其他肺炎患者的CT表现进行对比,探讨“蒲公英果实征”在COVID-19的诊断价值。
1 资料和方法 1.1 一般资料对佛山市三水区人民医院2020年1月24日~2月10日发热门诊患者、感染内科收治隔离患者且在医学影像科行HRCT扫描的病例进行筛查,共119例。按以下标准纳入:(1)疫情防控发热门诊患者;(2)感染内科收治隔离患者;(3)有上呼吸道感染症状患者。排除标准:肺部CT未见异常患者。由两位高年资的放射科医师共同阅片,共排除96例,最终诊断肺炎病人23例,男14例,女9例,年龄3~91岁。
根据国家《新型冠状病毒感染的肺炎诊疗方案(试行第五版)》[6]内容初步诊断,并结合SARS-CoV-2核酸检测结果阳性即确诊。23例肺炎患者中,COVID-19 9例(占39.1%),男5例,女4例,年龄14~58岁;其他类型肺炎有流感病毒肺炎3例、细菌性肺炎9例,支原体肺炎2例。
1.2 CT检查方法采用GE Discovery CT750 HD 64层动态500排CT扫描仪,扫描范围自肺尖达肺底水平。扫描参数:SFOV为Large Body,管电压120 kV,自动管电流50~ 350 mA,层厚5 mm,螺距0.984 : 1。将所得数据按1.25 mm层厚重建为纵隔窗(重建模式ASIR为20%)与肺窗(重建模式ASIR为30%)后传输至工作站后处理。
1.3 临床表现与实验室检查(1) 患者的流行病学调查;(2)首发的临床表现;(3)实验室检查,如白细胞总数、淋巴细胞数、C-反应蛋白等;(4)新型冠状病毒SARS-CoV-2核酸检测结果。
1.4 图像分析将横轴位图像与冠状位重建图像结合观察,并根据需要进行多平面重组(MPR),观察COVID-19与其他肺炎患者CT图像。图像观察指标:(1)肺部病灶位置、范围;(2)病灶特点:如磨玻璃样、磨玻璃+实性成分、实变,支气管充气征等;(3)分析所有病灶是否有“蒲公英果实征”(图 1)。“蒲公英果实征”表现为“蒲公英果实绒团征”与“蒲公英种子征”。“蒲公英果实绒团征”是蒲公英花果实未飘落,花茎为肺血管,花托为病灶实性成份(部分病例没有类似花托的实性成份),所有形成种子的绒团为渗出的磨玻璃病灶,各个种子间形成间隔如病灶内小气泡或网格改变、小叶间隔增厚、增粗血管;“蒲公英种子征”则是蒲公英花果实飘落后(如同支气管播散),肺血管构成细长的种子,渗出的病灶构成种子的冠毛,随病情发展,冠毛亦可为实性渗出病灶(冠毛之间紧密结合不可分开)。
|
图 1 NCP患者典型的“蒲公英果实征” Fig.1 Typical "dandelion clock-like" sign on chest CT in patients with SARS-CoV-2-associated pneumonia. A: Chest CT finding of dandelion clew-like sign in a 22-year-old female patient. The pulmonary blood vessel (arrow) forms the "flower stem" and the thickened blood vessels or the grid-like interstitial tissues (arrow) form the "seeds"; B: Image of a dandelion clock; C: Dandelion seed sign in a 38-year-old female patient. The subpleural fusion of the lesions gives rise to the dandelion seed sign (arrow), with the pulmonary vessels (arrow) as the "seed stem", with the "seeds" carried by wind (respiratory tract) to fall below the pleura; D: Coronal reconstruction image showing dandelion seed sign (arrow) in a 38-year-old male patient, with the pulmonary blood vessel (arrow) as the seed stem; E: Dandelion flower seeds. |
COVID-19 9例(9/23,39.1%),临床为普通型(7例)或重症型(2例),均有流行病学史(到过湖北疫区或与湖北籍人接触),临床表现有发热(6例)、咳嗽(4例)、气促(4例)、乏力(1例)、流涕(1例),实验室检查为白细胞总数正常(8例)或减低(1例)、淋巴细胞正常(4例)或减低(5例)、C反应蛋白(CRP)大部分轻度升高(6例,1例明显升高)。
流感病毒性肺炎3例(3/23,13.1%),临床表现有咳嗽(3例)、发热(3例)、流涕(1例),血象表现为白细胞总数均正常、淋巴结细胞正常(1例)或减低(2例)、CRP轻度升高(6.26~10.59)。细菌性肺炎9例(9/23,39.1%),无流行病学史,临床表现有发热(均有发热,7例高热)、咳嗽、咳痰,且痰量较多,血象表现为白细胞总数升高、CRP明显升高(>100),大部分血细菌培养可见革兰阳/阴性菌生长。支原体肺炎2例(2/23,8.7%),肺炎支原体抗体阳性。
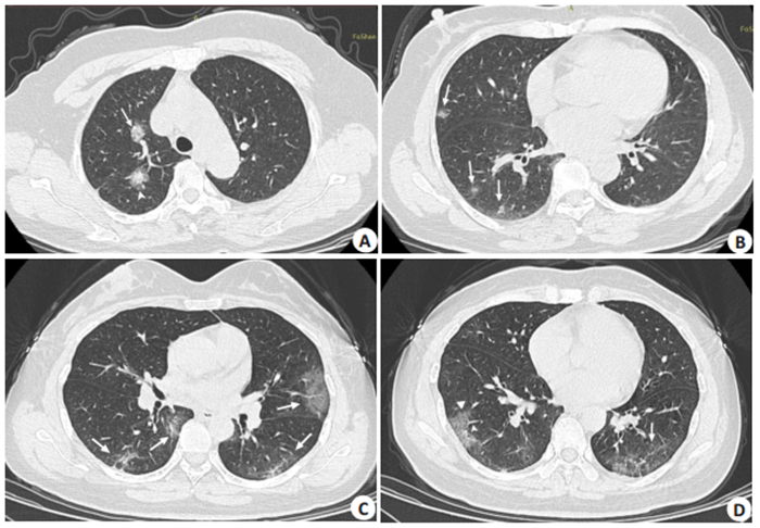
2.2 CT表现9例COVID-19中,共有76个病灶,多数位于胸膜下(67个,88.2%),少数位于肺中内带(9个,11.8%);7例患者CT表现为双肺多发病灶,多位于肺外周或胸膜下,不按肺叶或肺段分布,下肺多见;呈斑片状、团片状、扇形磨玻璃影,常合并肺血管增粗和微血管增多、小叶间隔增厚及纤维化,内衬网格样、如小气泡样,呈“铺路石征”改变(3例);2例随着病情进展,累及多个肺叶并相融合,病灶范围扩大、密度增高,呈不规则形、楔形或伞形,呈双侧非对称性分布。9例COVID-19中,均有“蒲公英果实征”,共46个病灶(33/55,60.5%),其表现为“蒲公英果实绒团征”(9个,19.6%,8个位于胸膜下)与“蒲公英种子征”(37个,80.4%,均位于胸膜下)(图 2)。(9例COVID-19的CT特征如表 1所示)。
|
图 2 NCP患者CT图像 Fig.2 Chest CT images of 2 patients with SARS-CoV-2-associated pneumonia. A, B: Bilateral subpleural multiple ground glass opacity with solid components (arrows) and "dandelion clew-like" sign (arrows in A) in a 58-year-old female patient. C, D: Bilateral subpleural multiple ground glass opacity (arrows) and dandelion seed sign (triangle) in a 48-year-old female patient (arrows indicate the pulmonary vessels). |
| 表 1 NCP的CT特征 Tab.1 Chest CT features of the 9 patients with SARS-CoV-2-associated pneumonia |
流感病毒性肺炎3例,其病灶呈单发或多发, 网织条索、磨玻璃影并伴增浓间质改变,呈外围部及中心分布,且伴不同程度纤维化、间质增厚、多发小结节;部分病灶实性成份较少,以支气管旁多见(图 3A、B)。细菌性肺炎9例,其病灶呈单发或多发,斑片状、大片状密度增高影,部分病灶呈实变,可见支气管充气征,实变密度较高(图 3C)。14例流感病毒性、细菌性肺炎及支原体肺炎均无“蒲公英果实征”。
|
图 3 其他类型肺炎CT图像 Fig.3 CT images of other types of pneumonia. A, B: Influenza viral pneumonia in a 21-year-old female patient. Four days later, CT reexamination showed ground glass opacity in the dorsal segment of the lower lobe of the right lung (arrow) with less solid components. SARS-CoV-2 nucleic acid test was negative for several times, and immunofluorescence test showed positivity for influenza B virus. C: Bacterial pneumonia showing large flaky consolidation of bilateral lungs with air bronchogram. |
COVID-19属于β属的新型冠状病毒感染,其基因特征与SARSr-CoV和MERSr-CoV有明显区别。COVID-19主要以SARS-CoV-2感染患者为传染源,经呼吸道飞沫和接触传播[7],其诊断需要结合患者临床表现及流行病学史。本组病例COVID-19患者发病前两周内有湖北、尤其是武汉地区停留史等流行病学史,临床表现中低热、干咳症状、气促及实验室检查中的外周血白细胞总数大部分正常(仅1例减低)、淋巴细胞数正常或减低,均与国家《新型冠状病毒感染的肺炎诊疗方案(试行第五版)》诊断标准相符合。流感病毒性肺炎临床表现及血象检查均与COVID-19相类似,有或无流行病学史,但呼吸道病毒免疫荧光法检测显示流感A或B病毒抗原阳性,SARS-CoV-2核酸检测阴性。相对于病毒性肺炎而言,细菌性肺炎患者临床主要以发热、咳嗽、咳痰为主,且痰量较多,无流行病学史,实验室检查以白细胞总数增高、CPR明显升高为主;因此COVID-19在临床上与细菌性肺炎明显不同,但与流感病毒性肺炎存在相似之处。
肺炎可分为细菌性肺炎、支原体肺炎、病毒性肺炎等,胸部HRCT检查可清晰显示肺炎的病理变化。细菌性肺炎病变发生于肺实质,主要表现者大叶肺炎或支气管肺炎[8],CT表现为病灶呈单发或多发, 斑片状、大片状密度增高影,部分病灶呈实变,可见支气管充气征,实变密度较高;本组有9例细菌性肺炎,均有上述表现。病毒性肺炎主要为肺泡间及细支气管的结缔组织充血、水肿及炎症性细胞浸润,导致肺泡壁增厚,而肺泡腔为轻度炎性改变,且为渗出较少的炎性细胞与浆液[9]。流感病毒性肺炎CT表现为磨玻璃影并伴增浓间质改变,呈外围部及中心分布,间质增厚、多发小结节[10]。本组有1例流感病毒性肺炎与COVID-19表现非常相似,右肺下叶片状磨玻璃样改变病灶,极少实性成份,亦无增厚的血管影,无“蒲公英果实征”,数次SARS-CoV-2核酸检测阴性,免疫荧光法检测流感B病毒抗原阳性。虽然COVID-19与流感病毒性肺炎在临床表现有相似,但影像表现却有不同,根据现有文献研究显示,COVID-19的CT表现可分为早期、进展期、重症期、转归期[5, 11-12]。早期病灶单发或多发、双侧分布,多位于中外肺野或胸膜下区,双下肺多见,磨玻璃影多见,其内可见增粗血管、小叶间隔增厚及厚壁支气管穿行,病灶以不规则形、伞形多见;进展期病灶分布区域增多,部分病变范围融合扩大,呈双侧非对称性,亦可见纤维化;重症期病灶呈双肺弥漫性病变或“白肺”改变;转归期多见于肺炎发病1周左右,病变范围缩小,渗出物吸收或机化,部分残留索条状影。本组COVID-19患者临床表现为普通型或重症型,CT表现主要以早期或进展期为主,2例为重症期;据观察发现,所有患者均出现“蒲公英果实征”,共有46个病灶(46/76,60.5%);部分病例可能在横轴位不可见,但冠状位或矢状位重建图像可见。而细菌性肺炎、流感病毒性肺炎均无“蒲公英果实征”。
虽然病毒性肺炎的影像学表现略有不同,但存在较大的重叠,源于同一病毒家族中的病毒具有相似的发病机理。回顾病毒性肺炎、尤其SARS肺炎与MERS肺炎的相关报道[9, 13],研究发现,SARSr-CoV和MERSr-CoV感染可诱导促炎细胞因子浓度的增加,与之相似,COVID-19的患者也有大量IL1B等细胞因子,可能导致活化的Th1细胞反应[14]。本研究推测,SARS-CoV-2沿支气管传播,导致支气管周围间质水肿、炎症性细胞浸润,病理上表现为肺血管增粗及部分实变,形成CT上所见的“蒲公英花茎与花托”,肺泡壁增厚与肺泡腔轻度炎性则形成了“蒲公英花果绒团”及网格样改变。当病灶进一步发展、实性成份较多时,形成伞形的“蒲公英种子征”;蒲公英花果实飘落后(如同支气管播散),肺血管构成细长的种子,渗出的病灶构成种子的冠毛,随病情发展冠毛可表现为实性成分(冠毛之间紧密结合不可分开)。但是,“蒲公英果实征”并不能用来诊断所有的COVID-19,虽然本组仍有2例CT表现为重症期的病例,病灶未融合累及整个肺叶时,仍可见本征象,只是冠毛成为实性成分;然而,据现有资料显示,影像表现为重症期病例,渗出病灶融合累及整个肺叶,较难观察到这个征象。因此,本征象在重症期前出现较为多见,可能对进展期的COVID-19较有诊断价值。
综上所述,本研究率先提出COVID-19患者胸部CT的“蒲公英果实征”,此征象在COVID-19患者的出现率较高,而不见于本组其他类型肺炎患者,初步表明为COVID-19较特征性的CT征象,可协助快速鉴别COVID-19与其他肺炎,但有待进一步大宗病例观察研究与验证。
| [1] |
国家卫生健康委关于新型冠状病毒肺炎暂命名事宜的通知, 国卫医函〔2020〕42号. http://www.nhc.gov.cn/mohwsbwstjxxzx/s2908/202002/f15dda000f6a46b2a1ea1377cd80434d.shtml.
|
| [2] |
中华人民共和国国家卫生健康委员会公告, 2020年第1号. http://www.nhc.gov.cn/jkj/s7916/202001/44a3b8245e8049d2837a4f27529cd386.shtml.
|
| [3] |
Parry J. Wuhan: Britons to be evacuated as scientists estimate 44000 cases of 2019-nCoV in the city[J]. BMJ, 2020, 368: m351. |
| [4] |
Corman VM, Landt O, Kaiser M, et al. Detection of 2019 novel coronavirus (2019-nCoV) by real-time RT-PCR[J]. Euro Surveill, 2020, 25(3): 2000045. |
| [5] |
中华医学会放射学分会. 新型冠状病毒感染的肺炎的放射学诊断:中华医学会放射学分会专家推荐意见第一版[J]. 中华放射学杂志, 2020, 54(00): E001. |
| [6] |
国家卫生健康委员会.新型冠状病毒感染的肺炎诊疗方案(试行第五版). http://www.nhc.gov.cn/yzygj/s7653p/202002/3b09b894ac9b4204a79db5b8912d4440/files/7260301a393845fc87fcf6dd52965ecb.pdf.
|
| [7] |
Huang C, Wang Y, Li X, et al. Clinical features of patients infected with 2019 novel coronavirus in Wuhan, China[J]. Lancet, 2020. |
| [8] |
张义堂, 杨峰, 杨红, 等. 难治性肺炎患儿的CT影像学表现特点分析[J]. 中国CT和MRI杂志, 2017, 15(7): 36-9. |
| [9] |
Koo HJ, Lim S, Choe J, et al. Radiographic and CT Features of Viral Pneumonia[J]. Radiographics, 2018, 8(3): 719-39. |
| [10] |
马倩, 张志勇, 袁敏, 等. 人感染H7N9禽流感与H1N1重症病毒性肺炎的CT影像比较[J]. 中华放射学杂志, 2013, 47(9): 830-1. |
| [11] |
管汉雄, 熊颖, 申楠茜, 等. 武汉2019新型冠状病毒(2019-nCoV)肺炎的临床影像学特征初探[J]. 放射学实践, 2020. |
| [12] |
Lei J, Li J, Li X, et al. CT Imaging of the 2019 Novel Coronavirus(2019- nCoV) Pneumonia[J]. Radiology, 2020. |
| [13] |
杜湘珂, 郁万江, 王思伦, 等. SARS的临床与影像分析[J]. 中华放射学杂志, 2003, 37(9): 780-3. |
| [14] |
Huang C, Wang Y, Li X, et al. Clinical features of patients infected with 2019 novel coronavirus in Wuhan, China[J]. Lancet, 2020. |
2020, Vol. 40

