腹部脂肪包括腹部内脏脂肪(VAT)和腹部皮下脂肪(SAT)。不同部位脂肪在参与机体的代谢作用有所差异。腹内脂肪位于腹腔内,其在受体的分布、脂肪细胞分泌性因子、脂肪细胞内酶的活性等方面与皮下脂肪组织有显著的差异[1-2]。近年来,国内外学者逐渐关注于腹部脂肪与骨质疏松的关系,研究认为腹部脂肪与骨质疏松关系密切,VAT与骨质密度(BMD)呈负相关[3-5]。另有众多研究认为骨髓脂肪与BMD亦呈负相关,骨髓脂肪沉积是骨质疏松重要的发病机制之一[6-8]。但腹部脂肪与骨髓脂肪的关系尚不明确,目前相关研究报道较少[9-11]。本文初步探讨腰椎骨髓脂肪含量与腹部皮下脂肪(SAT)及内脏脂肪(VAT)的相关性,以加深对骨质疏松发生机制的认识。
1 资料和方法 1.1 研究对象与分组对2014年6月~2015年2月在我院同时行腰椎MRI及定量CT检查者进行前瞻性研究。纳入标准:健康志愿者或临床拟诊骨质疏松患者,年龄20~75岁,性别不限;排除标准:患者有代谢性疾病、使用糖皮质激素、腰椎肿瘤及腰椎手术或骨折等病史,妊娠或短期计划怀孕者。共68人(男32人,年龄28~74岁,中位年龄51岁;女36人,年龄21~74岁,中位年龄48岁)纳入研究。测量每人的身高、体质量(计算BMI,kg/m2)。男性及女性分别按年龄分为≥50岁和 < 50岁组。
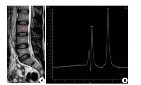
1.2 1H MRS测量腰椎脂肪含量1.5T MR行脊柱检查,采用单体素点分辨波谱法(PRESS)对L3椎体进行波谱采集,扫描参数: TR/TE:2000/42 ms;NSA:1;Voxel: 15 mm×15 mm×15 mm;Spectral Bw(Hz):1000;Flip angle: 90°;no fat/water suppression。采集数据用后处理工作站软件((Extended MR Workspace))进行测量分析。以1.3 ppm波峰为甘油三酯峰,水峰位于4.67 ppm,计算脂肪比(fat fraction, FF%)=Arealip(/ Arealip+AreaH2o)(图 1)。
|
图 1 L3椎体进行波谱采集 Figure 1 A: MRS of the L3 performed by PRESS and the ROI was set at the vertebral center avoiding the bone cortex; B: Water peak was at 4.67 ppm and the lip peak was at 1.3 ppm. |
Toshiba 64排螺旋CT,床高65 cm,120 kV,150 mA,D-Fov选400(Large),将校准体模(Mindway公司)置于患者腰下,尽量紧贴,扫描范围选择L1-L5。将原始数据传至QCT工作站,用QCT分析软件中的tissue composition功能测量L3椎体相应层面的腹部皮下脂肪(SAT)与内脏脂肪(VAT)的含量。
1.4 统计学分析SPSS 19.0分析软件。采用独立样本T检验分别比较男性及女性≥50岁组和 < 50岁组BMI、FF%、VAT及SAT是否有显著性差异,采用Pearson相关分析分别分析男性和女性FF%与BMI、VAT及SAT的相关性。P < 0.05认为差异有统计学意义。
2 结果男性BMI、FF%、VAT及SAT≥50岁组和 < 50岁组两组比较均无显著性差异(P > 0.05),FF%与BMI、VAT及SAT均无明显相关性(r分别为-0.109、0.034、-0.066,P > 0.05)。女性BMI、FF%、VAT及SAT≥50岁组和 < 50岁组两组比较均有显著性差异(P < 0.05);≥50岁女性,FF%与VAT明显正相关(r为0.499,P < 0.05),FF%与SAT无明显相关性(r为0.221,P > 0.05); < 50岁女性,FF%与VAT或SAT均无明显相关性(r分别为-0.076、-0.067,P > 0.05)。分别见表 1,表 2和图 2。
| 表 1 男、女 < 50岁及≥50岁组BMI、脂肪比(FF%)、 VAT及SAT测量结果 Table 1 Measurements of BMI, FF%, VAT and SAT in male and female aged < 50 years and≥50 yeas |
| 表 2 女性 < 50岁及≥50岁脂肪比(FF%)与BMI、 VAT及SAT相关性分析结果 Table 2 Correlation of FF% with BMI, VAT and SAT in female subjects aged < 50 years and≥50 yeas |
|
图 2 ≥50岁女性腰椎骨髓脂肪比(FF%)与腹部内脏脂肪含量(VAT,g)相关分析结果 Figure 2 Correlation between lumbar bone marrow FF% and VAT in female subjects aged≥50 years. |
脂肪组织按分布部位,可主要分为内脏脂肪组织(VAT)、皮下脂肪组织(SAT)和骨髓脂肪。脂肪组织与骨密度及骨质疏松关系密切而且复杂,众多研究表明对于健康人群,不论男性还是女性,骨髓脂肪含量均随着年龄的增长而增加,且与骨质密度呈现负相关趋势[12-13],同时内脏脂肪组织在青少年和成年群体中与骨密度亦呈负相关[14]。然而内脏脂肪、皮下脂肪与骨髓脂肪之间的关系尚不明确。本研究初步对健康人群腰椎骨髓脂肪含量与腹部皮下脂肪及内脏脂肪进行相关性分析,将有助于对脂肪组织在骨质疏松发生过程中作用的理解。
本组研究结果提示随着年龄的增长,女性体质参数(BMI)、骨髓脂肪含量、腹部皮下脂肪及内脏脂肪均增加,年龄≥50岁女性腰椎骨髓脂肪含量与腹部内脏脂肪含量呈明显正相关,而与腹部皮下脂肪无相关性;年龄 < 50岁女性腰椎骨髓脂肪含量与腹部内脏及皮下脂肪均无明显相关性。Bredella等[9]对肥胖女性进行相关研究结果与本研究一致,认为骨髓脂肪含量与内脏脂肪呈明显正相关,而且骨髓脂肪含量与IGF-1和骨质密度呈负相关,但未分析年龄对二者关系的影响。而Baum等[10]分别对13例绝经后2型糖尿病女性患者和13例绝经后健康女性进行骨髓脂肪含量与腹部脂肪相关研究,结果则提示绝经后女性无论是否伴有2型糖尿病,其骨髓脂肪含量均与腹部皮下脂肪及腹部总脂肪密切相关,但仅绝经后2型糖尿病女性患者骨髓脂肪含量与内脏脂肪相关。此与本文研究结论不甚一致,笔者推测研究结果的差异可能与人群选择如人种、年龄、BMI分布及腹部脂肪测量平面等有关。皮下脂肪和内脏脂肪对骨髓脂肪影响的不同可能与皮下脂肪及内脏脂肪的功能不同有关[15],内脏脂肪相对皮下脂肪更能反映腹型肥胖,内脏脂肪和骨髓脂肪是影响骨质密度的主要因素。本组结果中女性≥50岁及 < 50岁腹部内脏脂肪对骨髓脂肪影响的差异可能与绝经后雌激素的水平有关,机体脂肪含量在绝经后对女性骨质密度的影响更重要[16]。女性骨髓脂肪含量、内脏脂肪含量及骨质密度关系密切,但因受种族、年龄、体质量、激素水平等因素的影响,3者之间的关系尚需要进一步加强研究。
男性骨髓脂肪含量与腹部脂肪之间的关系,本组研究结果初步提示尽管随着年龄的增长,骨髓脂肪含量和内脏脂肪含量亦逐渐增加,但≥50岁组及 < 50岁组并未呈现显著性差异,而BMI和腹部皮下脂肪则并未随年龄增长而增加。易波等[17]用双能X线BMD仪对全身脂肪及骨密度研究认为腹部脂肪含量、臀部脂肪含量、全身其他部位脂肪含量无论男女均随着年龄的增加而增加,但他们的研究中并未对腹部内脏脂肪与皮下脂肪进行区分;此外他们的研究也提示女性患者脂肪含量随年龄增长而增加的变化趋势比男性更加明显。目前有关骨髓脂肪含量及腹部内脏脂肪含量的研究主要集中于女性,关于男性腰椎骨髓脂肪含量与腹部脂肪含量关系的研究国内外鲜见报道。本研究结果初步提示男性腰椎骨髓脂肪含量与腹部内脏脂肪及皮下脂肪均无明显相关性。骨髓脂肪含量与腹部内脏脂肪的相关性男性与女性的不同,可能与男女激素调控差异有关[18],尚有待进一步研究。
此外,本文研究结果提示无论≥50岁或 < 50岁男性及女性骨髓脂肪含量与BMI均无明显相关性,表明BMI作为肥胖最常用的简易测量指标具有局限性,BMI与骨质密度的关系也一直存在争议[19],与其无法区分脂肪型肥胖和肌肉型肥胖,也无法准确反映腹部皮下脂肪含量与内脏脂肪含量有关,因此在分析肥胖与骨髓脂肪或骨质密度的关系时,应用BMI作为肥胖分析指标时缺乏一定的客观性[20]。而QCT测量VAT及SAT则能更为准确的反映肥胖与骨髓脂肪及骨质密度的关系[21]。
综上所述,女性腰椎骨髓脂肪与腹部内脏脂肪关系密切,呈明显正相关,而与皮下脂肪无明显相关性;男性与女性不同,腰椎骨髓脂肪与腹部内脏脂肪及皮下脂肪均无明显相关性。骨髓脂肪、腹部内脏脂肪、皮下脂肪的关系密切而且复杂,尚需进一步研究。本研究的不足:仅分析L3椎体脂肪含量与相应层面腹部脂肪含量的关系,具有一定的局限性。
| [1] |
Fukuhara A, Matsuda M, Nishizawa M, et al. Visfatin: a protein secreted by visceral fat that mimics the effects of insulin[J].
Science,2005, 307 (578) : 426-30.
( 0)
|
| [2] |
李东飞, 杨春, 李桢, 等. 大鼠大网膜和皮下脂肪间充质干细胞免疫表型的比较[J].
南方医科大学学报,2010, 30 (10) : 2256-8, 2262.
( 0)
|
| [3] |
Russell M, Mendes N, Miller KK, et al. Visceral fat is a negative predictor of bone density measures in obese adolescent girls[J].
J Clin Endocrinol Metab,2010, 95 (3) : 1247-55.
DOI: 10.1210/jc.2009-1475. ( 0)
|
| [4] |
Wang L, Wang W, Xu L, et al. Relation of visceral and subcutaneous adipose tissue to bone mineral density in Chinese women[J].
Int J Endocrinol,2013 : 378632.
( 0)
|
| [5] |
Shih TT, Chang CJ, Hsu CY, et al. Correlation of bone marrow lipid water content with bone mineral density on the lumbar spine[J].
Spine (Phila Pa 1976),2004, 29 (24) : 2844-50.
DOI: 10.1097/01.brs.0000147803.01224.5b. ( 0)
|
| [6] |
Schellinger D, Lin CS, Fertikh D, et al. Normal lumbar vertebrae: anatomic, age, and sex variance in subjects at proton Mr spectroscopy--initial experience[J].
Radiology,2000, 215 (3) : 910-6.
DOI: 10.1148/radiology.215.3.r00jn42910. ( 0)
|
| [7] |
Kugel H, Jung C, Schulte O, et al. Age-and sex-specific differences in the 1H-spectrum of vertebral bone marrow[J].
J Magn Reson Imaging,2001, 13 (2) : 263-8.
DOI: 10.1002/(ISSN)1522-2586. ( 0)
|
| [8] |
Roldan-Valadez E, Piña-Jimenez C, Favila R, et al. Gender and age groups interactions in the quantification of bone marrow fat content in lumbar spine using 3T Mr spectroscopy: a multivariate analysis of covariance (Mancova)[J].
Eur J Radiol,2013, 82 (11) : e697-702.
DOI: 10.1016/j.ejrad.2013.07.012. ( 0)
|
| [9] |
Bredella MA, Torriani M, Ghomi RH, et al. Vertebral bone marrow fat is positively associated with visceral fat and inversely associated with IGF-1 in obese women[J].
Obesity,2011, 19 (1) : 49-53.
DOI: 10.1038/oby.2010.106. ( 0)
|
| [10] |
Baum T, Yap SP, Karampinos DC, et al. Does vertebral bone marrow fat content correlate with abdominal adipose tissue, lumbar spine bone mineral density, and blood biomarkers in women with type 2 diabetes mellitus?[J].
J Magn Reson Imaging,2012, 35 (1) : 117-24.
DOI: 10.1002/jmri.v35.1. ( 0)
|
| [11] |
Cordes C, Dieckmeyer M, Ott B, et al. MR-detected changes in liver fat, abdominal fat, and vertebral bone marrow fat after a four-week calorie restriction in obese women[J].
J Magn Reson Imaging,2015, 42 (5) : 1272-80.
DOI: 10.1002/jmri.v42.5. ( 0)
|
| [12] |
张晓东, 赵文吉, 胡少勇, 等. 腰椎骨髓脂肪含量与年龄、性别、体质量指数及腰围的相关性[J].
中国医学影像学杂志,2015, 23 (7) : 539-43.
( 0)
|
| [13] |
刘斌, 郭静, 曾南林. 椎体1H-MRS的临床应用研究进展[J].
国际医学放射学杂志,2012, 35 (6) : 553-6.
( 0)
|
| [14] |
Shen W, Scherzer R, Gantz M, et al. Relationship between MRImeasured bone marrow adipose tissue and hip and spine bone mineral density in African-American and Caucasian participants: the CARDIA study[J].
J Clin Endocrinol Metab,2012, 97 (4) : 1337-46.
DOI: 10.1210/jc.2011-2605. ( 0)
|
| [15] |
刘琼, 肖新华. 皮下脂肪组织与内脏脂肪组织[J].
国际病理科学与临床杂志,2013, 33 (6) : 544-7.
( 0)
|
| [16] |
Leder BZ, O'dea LS, Zanchetta JR, et al. Effects of abaloparatide, a human parathyroid hormone-related peptide analog, on bone mineral density in postmenopausal women with osteoporosis[J].
J Clin Endocrinol Metab,2015, 100 (2) : 697-706.
DOI: 10.1210/jc.2014-3718. ( 0)
|
| [17] |
易波, 文重远, 孙永林, 等. 脂肪分布对不同年龄正常人群骨密度的影响[J].
中国骨质疏松杂志,2012, 18 (7) : 610-3, 617.
( 0)
|
| [18] |
Goulding A, Jones IE, Taylor RW, et al. Bone mineral density and body composition in boys with distal forearm fractures: a dual-energy x-ray absorptiometry study[J].
J Pediatr,2001, 139 (4) : 509-15.
DOI: 10.1067/mpd.2001.116297. ( 0)
|
| [19] |
Leslie WD, Lix LM, Yogendran MS, et al. Temporal trends in obesity, osteoporosis treatment, bone mineral density, and fracture rates: a population-based historical cohort study[J].
J Bone Miner Res,2014, 29 (4) : 952-9.
DOI: 10.1002/jbmr.2099. ( 0)
|
| [20] |
彭幼玲, 陈党生, 郭洁珍. 年龄、体质量及体质量指数对中老年女性骨密度的影响[J].
南方医科大学学报,2006, 26 (6) : 878-9.
( 0)
|
| [21] |
张晓东, 赵文吉, 陈焱君, 等. 腰椎骨质密度与年龄、性别、体质参数及腹部脂肪的相关性[J].
中国医学影像技术,2015, 31 (5) : 762-5.
( 0)
|
2016, Vol. 36

0)